Sorry for the inconvenience.
Chinese users are only allowed to visit websites which complies with the PIPL (Personal Information Protection Law of the People's Republic of China) effective November 1st.
▲ Scan or click the QR code to visit 三星医疗
The personal information of existing Samsunghealthcare.com chinese users will be kept until October 29th and will be safely deleted thereafter.
최적의 환경에서
삼성헬스케어닷컴을 만나보세요
현재 접속하신 브라우저는 지원하지 않습니다.
삼성헬스케어닷컴의 원활한 사용을 위해서는 아래 브라우저 사용을 권장합니다.
브라우저가 설치되어 있지 않은 경우 아이콘을 클릭하여 설치하실 수 있습니다.
현재 사용하시는 브라우저를 확인하려면 아래 사이트를 참고해주세요
https://whatsmybrowser.org/
삼성은 산부인과 초음파에 혁신적인 헬스케어 솔루션을 추구함으로써,
여성을 위한 평생 헬스케어 지원을 약속합니다.
이 분야를 발전시키기 위한 최신 선도 혁신과 기술을 통합한 높은 수준의 전문 도구를 개발 및 설계합니다.
당사의 시스템은 진단 신뢰성 향상을 위해 뛰어난 2D, 볼륨, 컬러 영상 기술 및 지능형 보조 기능들을 포함한 다양한 최첨단 솔루션을 보유합니다.
여성건강 전문 의료진의 일상 업무 지원을 위해, 혁신적인 지능형 보조 솔루션을 세심하게 개발하였습니다. 진단 정확성을 향상하고 워크플로우 간소화를 위해 설계된 당사의 솔루션은 의료 전문가들의 반복 업무에 대한 부담을 감소시켜 환자 스캐닝과 검사에 더 집중할 수 있도록 지원합니다.
* 동일 조건으로 테스트 진행
* 동일 조건으로 테스트 진행
당사는 태아 진단, 생식력 관리, 유방 & 산과 관리, 분만 & 출산 등을 포함한 여성건강의 모든 단계에서 든든한 동반자가 되기 위해 노력하여,
여성의 삶과 아이의 삶을 향상하고 나아가 모든 여성에게 더 건강한 미래를 보장하고자 합니다.
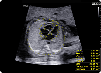
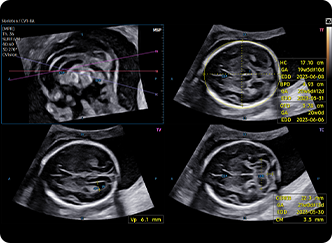
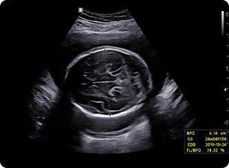
태아 건강을 더욱 효율적이고 효과적이게 모니터합니다. 다양한 측정 기능으로 태아의 형상, 성장 및 상태를 정확하게 모니터 할 수 있습니다. 의료전문가의 워크플로우를 더 신속하게 하기 위해 자동 기능이 직관적인 주석 및 태아 치수 측정을 제공합니다.
BiometryAssist™ ¹
빅데이터를 이용한 심층 학습(Deep learning) 기술을 기반으로 태아의 성장 상태(BPD, HC, AC, FL, HUM(Humerus, 상완골), APD, TAD 등)를 자동으로 측정할 수 있는 기능이다.
HERA W10 Elite, HERA W10, HERA W9, V8, V7, V6, HS60, HS50, HS40, HM70 EVO
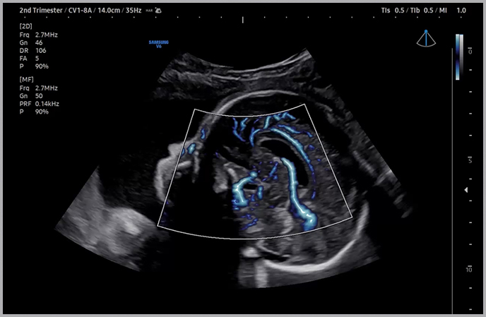
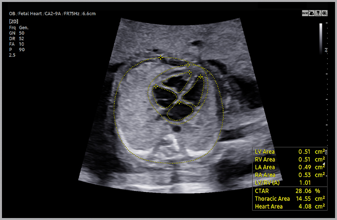
HeartAssist™ ¹
빅데이터를 이용한 심층 학습 기술을 기반으로 태아 심장 진단에 필요한 측정단면을 자동으로 분류하고 측정 결과와 통계 그래프를 제공한다.
HERA W10 Elite, HERA W10, HERA W9, V8, V7, V6
ViewAssist™ ¹
빅데이터를 이용한 심층 학습(Deep learning) 기술을 기반으로 초음파 영상을 자동으로 분류하고 영상 내 구조물의 annotation을 표기하여 사용자의 간편한 측정을 돕는다.
HERA W10 Elite, HERA W10, HERA W9, V8, V7, V6
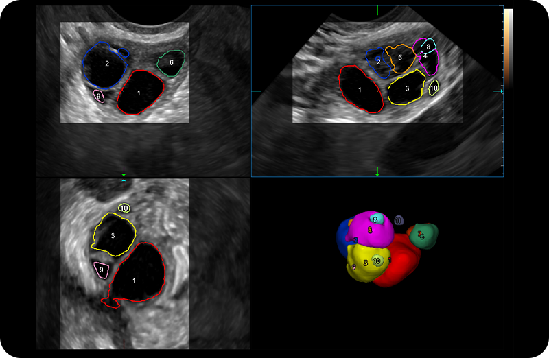
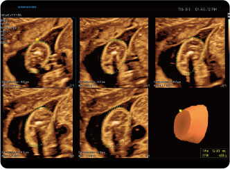
5D CNS+™ ¹
지능형 내비게이션을 사용하여 태아 뇌의 3가지 횡측 뷰로부터 6가지 측정값을 반자동으로 제공하여 재현성을 높이고 워크 플로우를 간소화 해준다. 글로벌 가이드라인(ISUOG) 제공인 태아 뇌 평가용 9개 단면을 포함한다.
HERA W10 Elite, HERA W10, HERA W9, V8, V7, V6
5D Limb Vol.™ ¹
3개의 씨드 포인트로 사지의 볼륨을 정확하고 빠르게 반자동 측정한다. 이는 태아 영양 상태에 관한 추가 정보를 제공 및 태아 무게의 정확한 산정을 돕는다.
HERA W10 Elite, HERA W10, HERA W9, V8, V7, V6
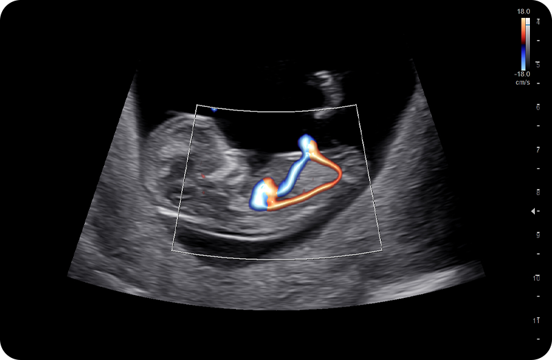
MPI+ ¹
LV MPI와 MPI를 반자동으로 측정할 수 있어 높은 재현성을 제공한다. RV MPI는 Inflow/Outflow 도플러를 획득 후 심장 박동과 판막 운동의 동기 신호를 활용하여 정합을 진행한다. 이러한 자동정합을 통하여 ICT, IRT 및 RV MPI 검사 결과를 제공한다.
HERA W10 Elite, HERA W10, HERA W9, V8, V7
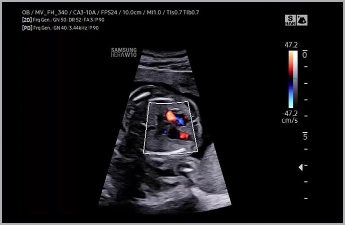
5D Heart Color™
심장의 9개의 표준 단면 정보를 제공하는 기능으로, AIUM 가이드 라인을 준수하고, 쉽고 정확하게 태아 심장의 발달 사항에 대한 주요 정보를 제공하는 기능입니다. 또한, 전용 Preset, Predictive Cursor 및 Diagnostic Alert 및 심장 Diastole/Systole 시점을 제공합니다.
HERA W10 Elite, HERA W10, HERA W9, V8, V7, V6, HS60
삼성의 솔루션은 난소, 자궁 내벽, 난포 발달 등을 포함한 여성의 생식 건강에 대한 정보를 제공할 수 있습니다. 진단부터 결과 해석까지, 삼성의 획기적인 솔루션은 의료전문가 및 환자에게 정확하고 확신할 수 있는 결과 제공을 돕기 위해 준비되어있습니다.
시험관 수정과 초음파 평가
1. 초기 평가
자궁 초음파는 자궁 크기 및 형상뿐만 아니라 자궁 부속의 병리학 기록을 위해 효과적인 진단 도구입니다. 또한 초음파는 ovarine antral reserve 및 난포 발달의 상세한 평가를 pro-videos합니다.
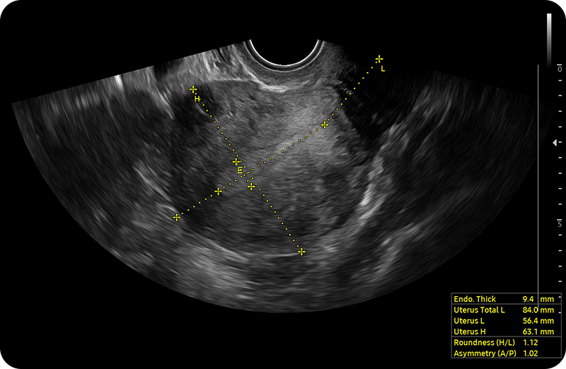
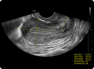
UterineAssist™
UterineAssist™는 자궁 크기 및 모양을 측정하는 기술로 자궁 관련 이상 진단에 도움을 주며, 자동으로 측정해주어 스캔 시간을 줄여줍니다.
V8, V7, V6, HS40, HM70 EVO
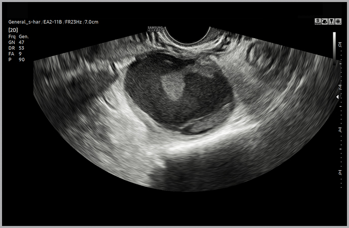
Uterine Contour
3D volume data를 기반으로 자궁내막의 coronal view를 검출하여 의료진의 자궁 진단을 돕는 기능이다.
HERA W10 Elite, HERA W10, HERA W9, V8, V7, V6
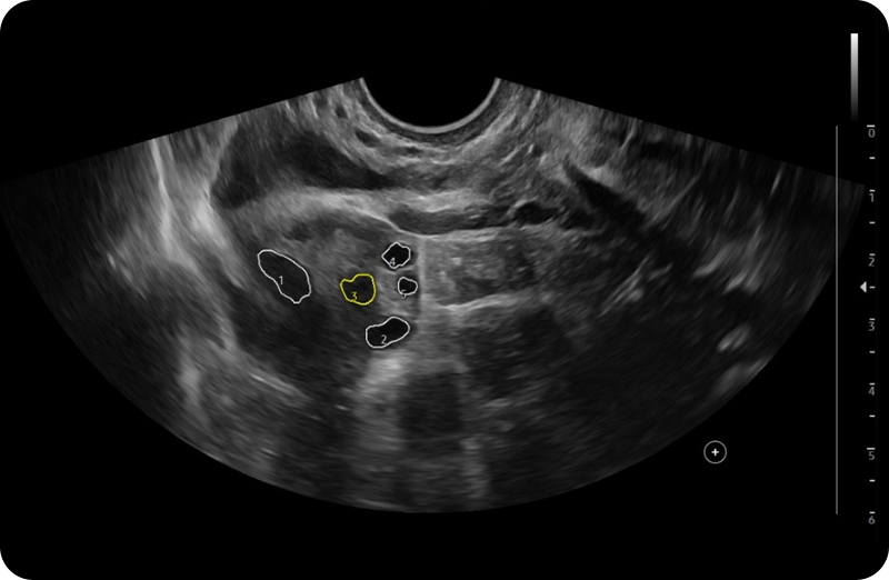
5D Follicle™
5D Follicle™은 부인과 검사 시, 여러 개의 난포 크기를 측정하고 상태에 대한 정보를 제공하는 기능입니다.
HERA W10 Elite, HERA W10, HERA W9, V8, V7, V6, HS60, HS50, HS40, HM70 EVO
삼성은 유방 및 산과 질병 및 장애 진단에서, 전문의 지원을 위한 진보된 기능과 높은 수준의 진단 정확성을 보여주는 보고서를 함께 제공합니다.
또한, 유방, 갑상선 및 기타 산과 관련 전문의 진단을 지원하여 통찰력 있는 임상 판단이 가능하도록 돕습니다.
S-Detect™ for Breast
유방 초음파 검사에서 선택된 Lesion을 분석하고, 분석된 데이터를 보여주는 기능으로 BI-RADS®ATLAS*(Breast Imaging-Reporting and Data System, Atlas)를 적용하여 표준화된 리포팅을 제공하며 간소화된 워크플로우로 진단을 돕습니다.
* ACR의 등록된 상표이며, 판권은 ACR이 소유하고 있습니다.
HERA W10 Elite, HERA W10, HERA W9, V8, V7, V6, HS60, HS50, HS40
S-Detect™ for Thyroid
S-Detect™ for Thyroid는 갑상선 초음파 검사에서 초음파 이미지상에서 선택된 Lesion을 분석하여, 분석된 데이터를 보여주는 기능으로 ATA, BTA, EU-TIRADS, K-TIRADS 및 ACR-TIRADS 가이드라인에 기반하여 표준화된 리포팅을 제공하며 간소화된 워크플로우로 진단을 돕습니다.
* ATA: American Thyroid Association
* BTA: British Thyroid Association
* EU-TIRADS: European Thyroid Imaging Reporting and Dat a System
* K-TIRADS: Korean Thyroid Imaging Reporting and Data System
* ACR-TIRADS: American College of Radiology Thyroid Imaging Reporting and Data System
HERA W10 Elite, HERA W10, HERA W9, V8, V7, V6, HS60, HS50
E-Strain™
E-Strain™은 두 ROI 영역 사이의 strain ratio를 쉽고 빠르게 계산할 수 있도록 설계되었습니다. 두 개의 위치를 간단히 설정하여 정확하고 일관된 결과를 얻을 수 있는 E-Strain™ 은 여러 유형의 진단에서 정보에 입각한 의사 결정을 내릴 수 있도록 도와줍니다.
HERA W10 Elite, HERA W10, HERA W9, V8, V7, V6, HS60, HS50, HS40, HM70 EVO
E-Breast™
유방 병변(breast lesion)의 진단에 도움을 주는 기능입니다. 병변으로 의심되는 부위(ROI)와 일반 부위(breast fat) 의 탄성비(strain ratio)를 구하여 결과를 표시합니다.
HERA W10 Elite, HERA W10, HERA W9
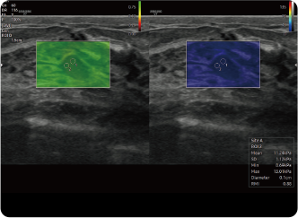
S-Shearwave Imaging™
사용자에게 조직 탄성도 영상을 제공한다. 의심 병변이나 관심 부위의 조직 탄성도를 측정하는 기능이다.
특히 컬러 적용된 탄성 영상, 정량적 측정, 단일 또는 이중 디스플레이 옵션, 사용자 ROI 지정 등의 기능은 정확한 진단을 돕는다.
V8, V7, V6
IOTA-ADNEX
IOTA-ADNEX는 IOTA 그룹의 난소 종양 분류 솔루션인 ADNEX 모델을 시스템에 적용한 것으로 초기 스캔부터 최종 보고서까지 초음파 진단기기 내에서 모든 절차를 수행할 수 있습니다. 2개의 초음파 예측 인자를 측정하면 해당 측정값이 자동으로 입력되고, 난소 종양에 대한 5단계 ADNEX 모델에 따라 분류된 결과값이 제공됩니다.
* IOTA-ADNEX: International Ovarian Tumor Analysis-Assessment of Different NEoplasias in the adnexa
HERA W10 Elite, HERA W10, HERA W9, V8, V7, V6
출생 과정에서, 가장 중요한 것은 산모와 태아의 건강입니다. 삼성 솔루션은 건강한 출산을 위한 상세한 정보를 제공하여 전문가의 진단을 돕습니다. 조기 진통 및 유도 분만에도 사용할 수 있습니다.
E-Cervix™
E-Cervix™는 자궁 경관 부위의 경도를 측정하는 기능입니다. E-Cervix™는 조기 출산 및 분만유도를 예측하는데 도움을 주는 탄성도 영상을 사용하는데, 몇초 동안 획득한 여러 가지 탄성 영상의 합을 사용하여 재현성을 높이고 관찰자 간 차이를 줄입니다.
HERA W10 Elite, HERA W10, HERA W9, V8, V7, V6
Crystal Architecture™는 선명하고 깨끗한 이미지 제공을 위해, S-Vue™ Transducer를 기반으로 CrystalBeam™과 CrystalLive™가 합쳐진 이미징 플랫폼을 의미합니다.
CrystalBeam™은 고해상도의 균일한 이미지를 제공하는 새로운 빔포밍 기술입니다. CrystalLive™는 향상된 2D 이미지 처리, 3D 렌더링 및 컬러 신호 처리 기능을 갖춘 삼성의 최신 초음파 이미징 엔진으로 높은 이미지 퍼포먼스와 효율적인 워크 플로우를 제공합니다.
태아 초음파 이미지 및 영상 클립의 간단한 전송
HelloMom™ 1,4 는 태아 초음파 이미지 및 영상 클립을 무선으로 초음파 기기에서 바로 외부 기기로 간단하고 안전하게 전송합니다. 전송된 이미지들을 손쉽게 다른 이들과 공유할 수 있습니다.
실시간 이미지 공유 솔루션
의사 혹은 소노그래퍼와 의사 간 진료 가이드 및 교육을 가능하게 하는 실시간 이미지 공유 솔루션으로 PC, 스마트폰 등에서 활용 가능하다. 원활한 커뮤니케이션을 위하여 원격 접속을 통해 음성 및 문자 채팅, 화상 회의, 실시간 Marking 기능 등을 제공하며, 필요한 경우 사용자를 초대하여 설정을 조정할 수 있는 기능인 리모트 컨트롤 기능을 제공할 수 있다.
중앙집중 관리 시스템
S-Hub는 종합적인 초음파 시스템 관리를 위한 중앙집중 허브의 역할을 하여, 소노그래퍼, 생물의학/서비스 엔지니어, 및 병원 관리자들의 운영 효율성을 향상시킵니다. 또한, S-Hub는 병원 및 개인 데이터를 안전하게 보호하고, 다양한 보안 규제를 준수합니다.
효율성을 극대화 하기 위하여 삼성 초음파는 워크플로우를 간소화하고 여러 다양한 업무를 단 몇 개의 단계 또는 키 조작으로 줄여줍니다.
삼성 초음파가 스캔 데이터를 얼마나 쉽고 정확하게 표시하는지를 통해 사용자 경험을 향상시킵니다. 유용성 보장을 위해, 제품 라인의 인체공학적 디자인이 사용자의 작업 환경에 최적화된 활용을 제공합니다.
TouchGesture
TouchGesture는 터치스크린의 3D 영상을 보면서 로테이션, 줌, 이동 등 다양한 조작을 직관적으로 할 수 있습니다. 또한 Oblique, MagiCut 등과 같은 3D 작업을 쉽게 할 수 있습니다.
EzExam+™
EzExam+™는 사용자가 사전 정의 된 프로토콜을 구축하거나 사용할 수 있는 기능으로 병원에서 시행하는 검사 프로토콜을 순서대로 지정하여 사용자의 조작 횟수를 줄여 줍니다. 특히, 태아 진단의 경우에는 태아의 위치에 따라 터치스크린으로 순서를 편리하게 조정할 수 있으며, Body Maker, Annotation, Measure 등을 자동으로 적용할 수 있습니다.
Assign functions to the buttons near the trackball
주로 사용하는 기능/메뉴를 트랙볼 주변 버튼에 할당하여 사용할 수 있게 함으로써 workflow를 개선하였습니다.
TouchEdit
TouchEdit터치스크린의 기능 배치를 각 모드별로 사용자가 자유롭게 설정할 수 있습니다
QuickPreset
QuickPreset은 사용자가 한 번의 터치로 자주 사용하는 transducer와 preset을 선택할 수 있는 기능으로 쉽고 간편하게 스캔을 할 수 있도록 효율성을 높여줍니다
외부의 사이버 공격 위협으로부터
시스템 보호
환자 정보에 대한
액세스 추적 및 감시 강화
데이터 암호화
기능 및 옵션 포함 설명된 제품 정보는 CE 표시 됩니다.
규제기관의 승인 상태는 국가 별로 상이할 수 있습니다.