Sorry for the inconvenience.

Chinese users are only allowed to visit websites which complies with the PIPL (Personal Information Protection Law of the People's Republic of China) effective November 1st.

▲ Scan or click the QR code to visit 三星医疗




The personal information of existing Samsunghealthcare.com chinese users will be kept until October 29th and will be safely deleted thereafter.

Upgrade browser for full Samsung Healthcare experience

It looks like you may be using a web browser that we don’t support.
Make sure you’re using one of these recommended browsers,
or upgrade your browser by clicking the icons, to get the full Samsung Healthcare experience.

To check which browser you use

https://whatsmybrowser.org/
본문 바로가기

Informativa Privacy

State entrando in una sezione che contiene informazioni dettagliate di carattere promozionale sui prodotti della società ristrette a professionisti sanitari. Ai sensi del decreto legislativo 46/97 e delle Linee Guida del Ministero della Salute del 17 febbraio 2010, vi preghiamo di cliccare il bottone di sinistra per entrare nella sezione se siete un professionista sanitario o se non lo siete di cliccare il bottone di destra per uscire.

RS85 Prestige

Miglioriamo
l'affidabilità
diagnostica
in
ecografia
pediatrica

I sistemi ecografici pediatrici Samsung sono progettati per offrire diagnosi
rapide e accurate ai pazienti pediatrici,
dai neonati agli adolescenti con corporatura adulta.
I nostri sistemi pediatrici all'avanguardia offrono straordinarie prestazioni di imaging,
accuratezza diagnostica specifica per i bisogni dei bambini,
funzionalità di facile utilizzo per il flusso di lavoro e trasduttori dedicati,.

Sofisticata elaborazione delle immagini

Migliora le strutture nascoste nelle regioni in ombra

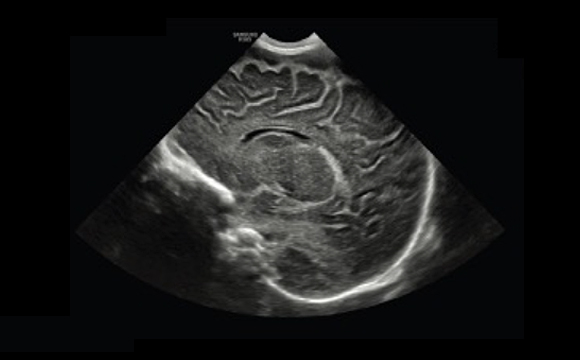
ShadowHDR™ applica selettivamente ultrasuoni ad alta o bassa frequenza per identificare le zone in ombra, come la testa o la colonna vertebrale del feto, dove si verifica l'attenuazione e le compensa permettendo una maggiore visibilità del tessuto.

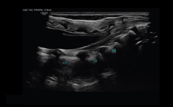
Testa Neonatale a
Anca a
Colonna verterbrale a
Addome a

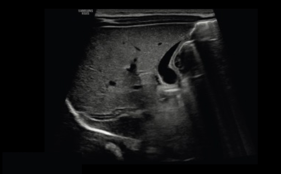
Attenuazione delle aree sfocate nelle immagini

HQ-Vision™ ¹ fornisce immagini più chiare mitigando le aree dell'immagine che risultano più sfocate rispetto alla loro effettiva natura

Riduzione del rumore per migliorare la qualità delle
immagini 2D

Il filtro di riduzione del rumore migliora la definizione dei bordi e crea immagini 2D nitide per ottenere prestazioni diagnostiche ottimali. Inoltre, ClearVision fornisce un'ottimizzazione specifica dell'applicazione e la risoluzione temporale avanzata nella modalità di scansione live

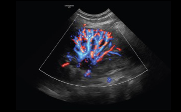
Visualizzazione delle strutture microvascolari a flusso lento

MV-Flow™ ¹ offre un imaging a colori avanzato per la visualizzazione delle strutture microvascolarizzate a flusso lento. L'elevata frequenza dei fotogrammi e il filtraggio avanzato permettono a MV-Flow™ di offrire una visualizzazione dettagliata del flusso ematico spaziale.

Milza MV-Flow™ ᵃ

Visualizzazione tridimensionale del flusso ematico

LumiFlow™ ¹ è un software per la visualizzazione tridimensionale del flusso ematico, che consente di individuare intuitivamente la struttura dei vasi sanguigni di qualunque dimensione.

Rene S-Flow™ con LumiFlow™ b

Funzioni diagnostiche arricchite

Ultrasuoni con contrasto avanzato

La tecnologia CEUS+ ¹ fornisce immagini dettagliate grazie ad un software innovativo e l'utilizzo di agenti di contrasto ecografici.
Il sistema garantisce una chiara ed interpretabile visualizzazione del mezzo di contrasto e al contempo alta longevità delle microbolle permettendo quindi una valutazione completa delle diverse fasi di perfusione.

Eseguire biopsie Fusion multi-modali con alta precisione

S-Fusion™ ¹ consente la localizzazione simultanea di una lesione utilizzando l'ecografia in tempo reale in combinazione con altre modalità di imaging volumetrico; consente un puntamento preciso durante le procedure interventistiche e altre procedure cliniche avanzate. La funzione Auto Registration di Samsung aiuta a fondere le immagini in modo rapido e preciso aumentando l'efficienza.

Mostra chiaramente la punta dell'ago

Con la massima precisione, NeedleMate+™ delinea chiaramente la posizione dell'ago durante l'esecuzione di interventi, come i blocchi nervosi. La precisione ed efficienza nella procedura è migliorata grazie anche alla presenza del beam steering aggiunto al NeedleMate+™.

Produttività Migliorate

Soluzione di condivisione di immagini in tempo reale

SonoSync™ è disponibile sia su PC che smartphone, ecc. è una soluzione di condivisione delle immagini in tempo reale che consente una comunicazione immediata per gestire le cure rapidamente e lo scambio di informazioni tra medici. Inoltre, le funzioni integrate di chat vocale e marcatura in tempo reale consentono una comunicazione efficiente; è inclusa la funzione MultiVue che consente di monitorare più immagini a ultrasuoni su un singolo schermo.

* SonoSync™ è una soluzione di condivisione di immagini.

Crea protocolli predefiniti
per un processo semplificato

EzExam+™ assegna agli esami eseguiti regolarmente protocolli predefiniti, al fine di ridurre il numero di passaggi che l’utilizzatore deve compiere.

Confronta l'esame precedente e quello
corrente in una visualizzazione affiancata

EzCompare™ seleziona automaticamente le stesse impostazioni di imaging, le annotazioni e i marker dell'esame precedente in modo da migliorare la confrontabilità delle immagini.

Related Products

RS85 Prestige
La vera rivoluzione

RS85 Prestige è stato rivoluzionato con nuovi strumenti diagnostici per diversi tipi di applicazioni basati su caratteristiche di imaging superiori. Le tecnologie avanzate intelligenti vi aiutano a prendere decisioni risolute nei casi difficili, mentre il sistema semplice da usare facilita il vostro lavoro di scanning ecografico nella routine quotidiana.

V8
Step up Confidence

Il sistema ecografico V8 è caratterizzato da una qualità di imaging eccellente basata sull'innovativa Crystal Architecture™ e garantisce la massima efficienza e semplicità grazie agli strumenti di Intelligent Assist e un flusso di lavoro riprogettato per soddisfare tutte le esigenze dell'ambiente clinico.

  • Questo prodotto, le funzioni, le opzioni e i trasduttori non sono disponibili in commercio in tutti i paesi.
  • Le vendite e le spedizioni hanno effetto solo dopo l'approvazione da parte degli affari regolatori.
    Si prega di contattare il rappresentante di vendita locale per ulteriori dettagli.
  • Questo prodotto è un dispositivo medico, leggere attentamente il manuale dell'utente prima dell'uso.
  • Prestige non è un nome di prodotto ma è una terminologia di marketing.
  • Il trasduttore il cui nome presenta due asterischi è supportato solo sul sistema ecografico RS85 Prestige.
  • a.Immagine acquisita dal sistema ecografico RS85.
  • b.Immagine acquisita dal sistema ecografico V8.
  • 1.Alcune caratteristiche opzionali potrebbero richiedere un acquisto aggiuntivo.
  • 2.Il valore della deformazione per ElastoScan+™ non è applicabile negli Stati Uniti e in Canada.
  • 3.Sonosync ™ è una soluzione di condivisione di immagini.

Le informazioni sul prodotto fornite in questa pagina si basano sull’approvazione CE.
Lo stato di approvazione/autorizzazione normativa del prodotto (incl. opzioni, funzioni, ecc.) può variare in base al Paese. CE 0123