Sorry for the inconvenience.

Chinese users are only allowed to visit websites which complies with the PIPL (Personal Information Protection Law of the People's Republic of China) effective November 1st.

▲ Scan or click the QR code to visit 三星医疗




The personal information of existing Samsunghealthcare.com chinese users will be kept until October 29th and will be safely deleted thereafter.

Upgrade browser for full Samsung Healthcare experience

It looks like you may be using a web browser that we don’t support.
Make sure you’re using one of these recommended browsers,
or upgrade your browser by clicking the icons, to get the full Samsung Healthcare experience.

To check which browser you use

https://whatsmybrowser.org/
본문 바로가기

Cardiovascular

Allier
intelligence et
performance

Les plateformes échographiques Samsung combinent une imagerie
cardiovasculaire haute définition et une ergonomie pensée pour votre quotidien.
Samsung ne cesse d'apporter ses innovations pour accompagner votre
expertise et vous offrir une meilleure qualité d'images,
une précision sans égal et une productivité optimale.

Une qualité d'images d'exception pour
des diagnostics précis

Perfectionnez votre compréhension des cas complexes grâce à l'alliance d'une qualité d'images optimale et le moteur d'imagerie Crystal Architecture™. Cette technologie intégrée, combine un traitement des images 2D et un traitement détaillé du signal couleur pour optimiser et affiner l'image.

La Crystal Architecture™ accompagne les professionnels de santé en toute confiance en minimisant la manipulation de la plateforme et permet ainsi une concentration maximale sur les patients.

Performance d'homogénéisation
des images

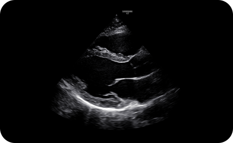
L'innovation d'harmonique multi-fréquence S-Harmonic™, améliore l'homogénéité des images sur l'intégralité du champ d'exploration et augmente la précision en superficie comme en profondeur.

Coupe parasternale grand axe avec Harmonic

Amélioration des images 2D avec technologie
de réduction de bruit

ClearVision est un algorithme de différenciation tissulaire qui améliore le ratio signal/bruit. Tout en réduisant les artefacts, il apporte un meilleur contourage des structures.

Zoom sur une coupe parasternale grand axe avec ClearVision

Visualisation tridimensionnelle
du flux sanguin

Le LumiFlow™ est un codage de visualisation avec un effet tridimensionnel qui permet d’étudier l’architecture des vaisseaux et des cavités cardiaques, de manière intuitive.

Vue Apicale 3 cavités couleur avec le LumiFlow™

La précision au cœur de nos
outils diagnostiques

Les échographes Samsung dédiés à l'imagerie cardiovasculaire sont équipés
d'une large gamme d'outils semi-automatiques qui guident les praticiens vers un diagnostic plus précis.
Ces fonctionnalités intelligentes s'articulent autour d'une interface intuitive et améliorent ainsi l'expérience utilisateur au quotidien.

Mesures semi-automatisées
dédiées à l’étude du cœur

L’outil HeartAssist™, basé sur la reconnaissance d’images, permet d’identifier les structures de l’image échographique afin de réaliser automatiquement les mesures et la classification du diagnostic cardiaque.

Evaluation de la fonction
ventriculaire gauche

Strain+ est un outil d’évaluation de la fonction ventriculaire gauche, par la méthode de suivi des marqueurs acoustiques naturels. Trois affichages de ventricules gauches standards et un œil de bœuf s’affichent dans un écran quadruple pour une évaluation facile et rapide de la fonction ventriculaire gauche.

Mesure de la fraction
d'éjection du ventricule gauche

AutoEF est une fonction permettant de mesurer avec facilité la fraction d’éjection. En sélectionnant trois points du ventricule gauche en un clic, nous avons le calcul du volume télé diastolique et télé systolique du ventricule gauche, et donc la valeur de la FE AUTO, qui est une évaluation rapide et efficace de la fonction cardiaque.

Echographie de stress

Le pack StressEcho fournit un ensemble complet d'outils dédiés à l'échographie de stress. Les fonctions programmables de cette technologie améliorent le confort de l'opérateur de manière significative.

Evaluation fonctionnelle des vaisseaux

La fonctionnalité ArterialAnalysis™ permet l'évaluation morphologique (épaisseur de l'intima-media) et fonctionnelle des vaisseaux. Cette technologie non invasive étudie dans toutes les directions, aussi bien axiale que longitudinale, la paroi des vaisseaux et contribue à la détection précoce des maladies cardiovasculaires.

Mesure IMT en un clic

La fonction AutoIMT+ permet de mesurer rapidement et simplement l’épaisseur de l’intima-média et prévenir ainsi le risque de maladies cardiovasculaires. La simplicité de cet outil rend l'examen plus rapide et augmente le confort patient.

Rationalisation de votre activité

Samsung Healthcare est convaincu qu’un système performant doit vous permettre de rester focalisés sur vos patients. Nos différentes solutions technologiques vous invitent à une nouvelle façon de travailler, portée par la collaboration à distance et la rationalisation de vos procédures quotidiennes. Grâce à la personnalisation des paramètres de diagnostic ou encore la fusion de plusieurs actions en une, nos technologies offriront un gain de productivité.

Solution de partage
d’images en temps réel

SonoSync™ ¹, ² est une solution de partage d’images échographiques à distance, sur tout type de support. Les fonctions chat audio, marquage en temps réel et affichage unique sur un seul écran (option MultiVue) favorisent une collaboration optimale et rapide entre plusieurs utilisateurs et développent la télé-expertise.

Vue étendue des examens

Les examens échographiques peuvent être visualisés sous différentes
tailles d'écran selon les préférences de l'utilisateur.

Utilisation du système sur batterie

La technologie BatteryAssist™ permet le fonctionnement du système sur batterie, de manière à répondre à un double objectif. D'une part, il confère une mobilité de l'échographe vers d'autres sites temporairement dépourvus d'alimentation électrique. D'autre part, il réduit le temps de démarrage grâce au mode veille sans avoir à éteindre ou à redémarrer l'appareil.

Création de protocoles
prédéfinis

EzExam+™ permet de construire des protocoles automatisés pour tous les examens de votre choix. Cela élimine le risque d'oubli d'une étape lors de la réalisation d'examens et réduit drastiquement le nombre de manipulations à réaliser.

Personnalisation
des fonctions favorites

La tablette tactile inspirée du savoir-faire de la téléphonie Samsung Electronics est entièrement configurable. La fonction TouchEdit offre la possibilité de paramétrer la tablette selon les préférences de l'opérateur.

Choix de la sonde et
du préréglage favoris en un clic

QuickPreset permet à l’utilisateur de sélectionner les préréglages de sonde les plus courants en un clic. Cela évite des manipulations inutiles et chronophages.

Comparaison des antécédents avec l'échographie du jour

EzCompare™ concorde automatiquement les paramètres d'images, les annotations et les marquages corporels entre les examens antérieurs et actuels.

Ecran tactile inclinable

L'inclinaison de l'écran tactile peut être ajustée afin de visualiser les différentes fonctions quelles que soient les conditions de luminosité de la salle.

Configuration du panneau
de commande selon vos envies

En fonction du mode et des outils utilisés, les boutons configurables permettent l’utilisation de raccourcis afin de gagner en productivité et en simplicité.

Produits associés

RS85 Prestige
Bouleversez l'expertise

Le RS85 Prestige se voit transformé, grâce à de nouvelles fonctions d’expertise intégrées et associées à une remarquable performance d’imagerie fondamentale. Une utilisation simple et des outils d’intelligence avancée vous accompagneront dans votre pratique quotidienne quels que soient les examens à réaliser.

RS80 EVO
Le diagnostic en toute confiance

Le RS80 EVO est un système polyvalent offrant une qualité d’image exceptionnelle pour une large gamme d’applications. Il vous aidera à prendre des décisions rapides, en toute confiance.

V8
Transformez votre routine en expérience Premium

La plateforme V8 combine une qualité d'imagerie haute définition alimentée par la Crystal Architecture™, avec un examen efficace et rationalisé rendu possible par une série d’outils intelligents. Le V8 repense le flux de travail pour répondre aux besoins de l'environnement clinique.

V7
Au gré de vos envies

Le V7 se façonne selon vos besoins grâce à une série de technologies innovantes et performantes. Riche en fonctionnalités, cette nouvelle plateforme fait preuve d'une polyvalence sans égal avec un large éventail d'applications cliniques, adaptées à tout type d'examen en imagerie cardiovasculaire.

V6
L'efficaité au quotidien

Faites l’expérience de la simplicité, grâce à notre système spécialement conçu pour alléger votre charge de travail et améliorer votre ergonomie. Doté d’une batterie puissante, le V6 sera votre partenaire pour une efficacité au quotidien quels que soient vos besoins en échographie.

V6 ultrasound system with ultrasound probe

HS60
Conçu pour vos besoins

Repoussez les limites du diagnostic grâce à l'échographe polyvalent HS60. Il permet aux utilisateurs d'appréhender avec précision différentes anatomies grâce à des fonctions dédiées et avancées.

HS50
Simplicité et performance

La polyvalence du HS50 permet aux utilisateurs de diagnostiquer avec précision diverses anatomies, y compris cardiaques et vasculaires, en utilisant une application dédiée et des fonctionnalités avancées d’imagerie.

HS40
L'efficacité au quotidien

Les outils Samsung, à la fois avancés et économiques, améliorent les capacités d'examen de diverses applications pour des soins efficients au quotidien.

HS30
Un condensé de technologies

Le HS30 offre une visualisation claire et ses outils intégrés sont équipés pour fournir des soins efficaces et faciliter les examens.

HM70 EVO
L'excellence portable

L’échographe HM70 EVO est un échographe portable de haute performance, conçu pour prendre en charge un large éventail d'applications et de patients.
Le système est doté d'un flux de travail rationalisé, d'une grande autonomie et d'une imagerie haute résolution qui peut être utilisée dans une variété de situations cliniques.

Sondes
Phased Array

  • PA1-5A
  • PA3-8B
  • PA4-12B

Sonde
Transoesophagienne

  • MMPT3-7

Sondes
Cardiaques

  • CW6.0
  • DP2B

Sondes
Linéaires

  • LA2-14A
  • LA2-9A
  • LA2-9S

Sécurisez vos soins

Permettre la sérénité de votre hôpital et de vos patients

Afin de répondre aux problématiques de Cybersécurité, Samsung propose des solutions aux utilisateurs afin de les protéger des cyberattaques qui pourraient compromettre les données patients et la qualité des soins prodigués. Les solutions en matière de Cybersécurité de Samsung permettent de respecter les notions de confidentialité, intégrité et disponibilité tout en offrant une protection sur les piliers suivants : prévention des intrusions, contrôle des accès et protection des informations.

  • Préventions contre les intrusions

    Des outils afin de vous
    prémunir des cyberattaques

    • Outils de sécurité (Antivirus & Pare-feu)
    • Système protégé
  • Contrôle d'accès

    Protection renforcée pour
    l’accès aux informations patients

    • Comptes personnels
    • Possibilité d’audit
  • Protection des données

    Outils de cryptage pour
    la protection des données patients

    • Informations cryptées
    • Sécurité de transit de données
En savoir plus
  • Ces produits, ces fonctionnalités, options et sondes ne sont pas disponibles dans tous les pays.
  • En raison des différentes dispositions réglementaires, leurs futures fonctionnalités ne peuvent être garanties. Merci de contacter votre réseau de distribution local pour plus d’informations.
  • Ces produits sont des dispositifs médicaux, veuillez lire attentivement le manuel d'utilisation avant de l'utiliser.
  • Prestige n'est pas un nom de produit mais une terminologie marketing.
  • Fonctionnalité en option qui nécessite un achat additionnel.
  • SonoSync™ est une solution de partage d'images.

Les systèmes RS85 Prestige, RS80 EVO, V8, V7, HS60, HS50, HS40, HS30 et HM70 EVO sont des dispositifs médicaux réglementés de classe IIa portant le marquage CE au titre de cette réglementation. Fabriqués par Samsung Medison Co.Ltd. (Corée du Sud), l’évaluation de la conformité a été réalisée par l’organisme notifié TÜV SÜD PRODUCT SERVICE GMBH (CE0123). Ces systèmes sont destinés au diagnostic médical par imagerie ultrasonore. Ces dispositifs sont destinés à être utilisés dans le cadre d’examens d’imagerie sur des parties du corps entier. Lisez attentivement la notice d’utilisation ainsi que le « guide de bon usage des examens d’imagerie médicale » publié par la HAS (2012) et l’arrêté du 20 avril 2018 relatifs aux examens d’imagerie pour le suivi des femmes enceintes et le diagnostic prénatal. CE 0123