Advanced liver analysis solution to
provide
comprehensive liver
assessment and clarification needed
Cancer is a leading cause of death worldwide, accounting for about 10 million deaths in the year 2020 [1]. Liver cancer is a global burden, the 6th most common cancer, and about 900,000 people are diagnosed each year [2]. Moreover, according to the WHO, liver cancer is marked 3rd most common cause of cancer death in 2020 (830,000 deaths) [1].
The most common causes of cancer deaths in 2020 [1]
Non-Alcoholic Fatty Liver Disease (NAFLD) is an umbrella term that encompasses a spectrum
of disorders, such as fat deposits in the liver, steatohepatitis, liver fibrosis, and cirrhosis, which can
be found during an ultrasound and liver biopsy and are neither caused by alcohol consumption nor accompanied
by other disorders.
Recent figures show that the prevalence of NAFLD in Asia and the USA is approximately 30%, while its global
prevalence is approximately 25% [4].
Fat deposits in the liver can increase the chances of triggering inflammatory responses and also lead to
liver fibrosis. Hence, it is important to continuously monitor the liver once the patient is diagnosed with
fatty liver disease.
Our liver analysis solution is available to track from the beginning to Post-op follow ups, covering wide range of liver disease.
EzHRI™ places 2 ROIs on the liver parenchyma and renal cortex and provides HRI* ratio. It offers convenience and an improved workflow by suggesting initial ROIs, calculates the average brightness ratio of the liver parenchyma and the renal cortex.
TAI™ (Tissue Attenuation Imaging) is a tool that quantitatively measures the attenuation of ultrasound signals received from the liver. TAI™ quantifies attenuation based on changes in the center frequency under the optimal transmission and reception conditions.
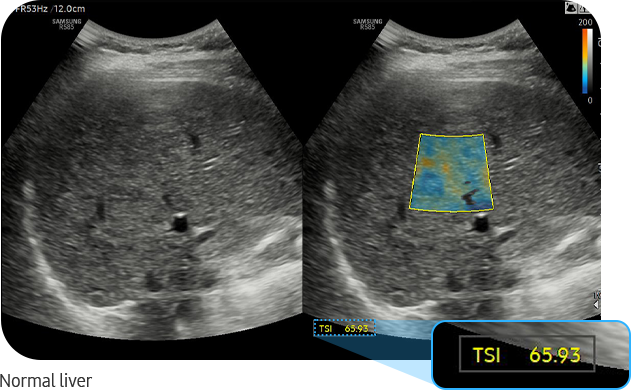
TSI™ (Tissue Scatter Distribution Imaging) is a tool that quantifies the scattered signal distribution based on backscattered signals. Scattering, the reflection of ultrasound waves in multiple directions not affected by their entry angle, produces speckle patterns in ultrasound images and this changes the distribution of backscattered ultrasound signals based on the scattering intensity.
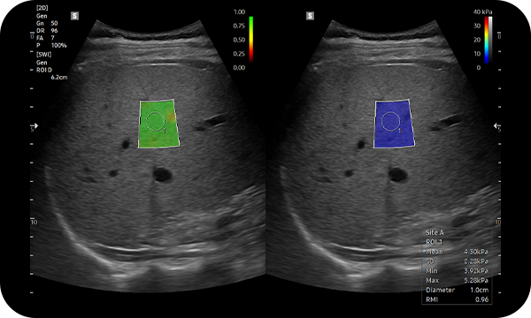
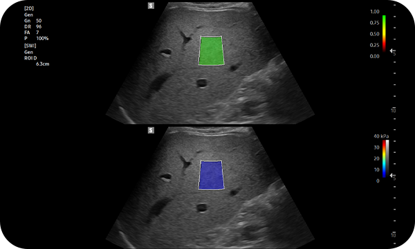
S-Shearwave Imaging™ allows for non-invasive assessment of the stiffness of tissue/lesions liver. The color-coded elastogram, quantitative measurements, dual or single display option, and user-selectable ROI functions are especially useful for the accurate diagnosis liver diseases.
CEUS+ is a contrast enhancement imaging technology that utilizes the characteristics of ultrasound contrast agents. The microbubble contrast agent injected into the body through the vein or alike is subjected to perform nonlinear resonance due to stimulation of ultrasound energy. In addition to the nonlinear signal generated by this method, the ultrasound contrast image is implemented by using the harmonic signal and thus utilized for the diagnosis based on the contrast characteristics over time.
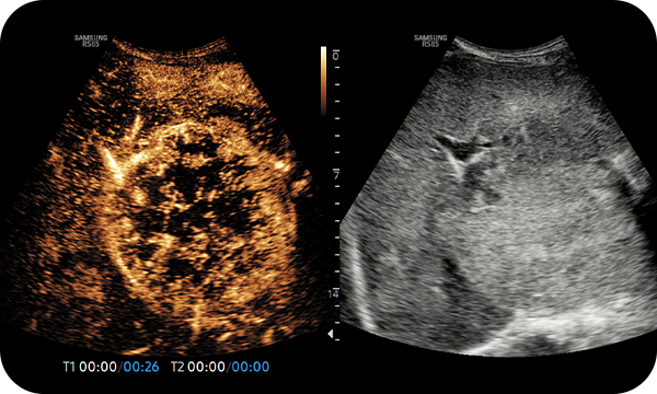
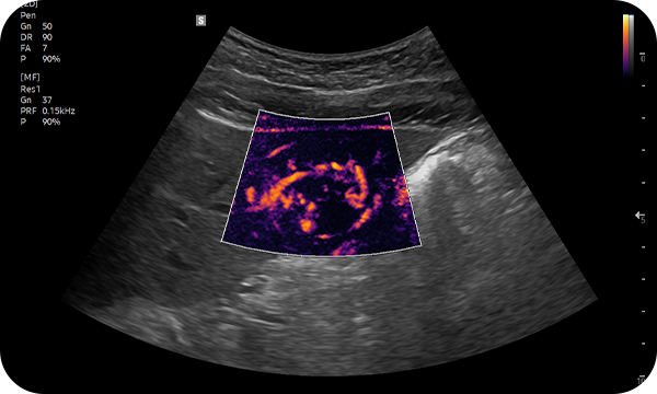
MV-Flow™ visualizes microcirculatory and slow blood flow to display the intensity in color. It is suitable for observation of microcirculatory and volume of slow blood flow.
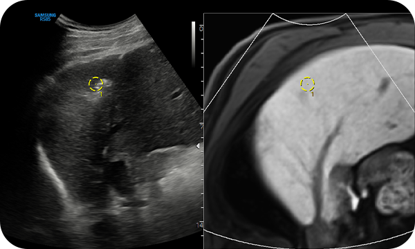
S-Fusion™ for liver enables simultaneous localization of a lesion using real-time ultrasound in conjunction with other volumetric imaging modalities. Samsung's auto registration helps quickly and precisely fuse the images, increasing efficiency and reducing procedure time. S-Fusion™ enables precise targeting during interventional and other advanced clinical procedures.
Matching Auto allows automatic initial registration by attaching external markers to the patient’s body before S-Fusion™ exam is processed, thus it helps quick and accurate exam.
Positioning Auto helps quick and efficient examination with one-step initial registration between CT/MR and ultrasound images by positioning the transducer in the patient’s pit of the stomach before patient scan.
S-Tracking increases accuracy during interventional procedures by providing a simulated needle path and target mark within the live ultrasound image. Clear Track, one of two functions provided by S-Tracking, ensures accuracy by using a specialized needle with a sensor tip. S-Tracking also includes Virtual Track utilizing conventional needles to provide both accuracy and economic benefit.



