Sorry for the inconvenience.

Chinese users are only allowed to visit websites which complies with the PIPL (Personal Information Protection Law of the People's Republic of China) effective November 1st.

▲ Scan or click the QR code to visit 三星医疗




The personal information of existing Samsunghealthcare.com chinese users will be kept until October 29th and will be safely deleted thereafter.

Upgrade browser for full Samsung Healthcare experience

It looks like you may be using a web browser that we don’t support.
Make sure you’re using one of these recommended browsers,
or upgrade your browser by clicking the icons, to get the full Samsung Healthcare experience.

To check which browser you use

https://whatsmybrowser.org/
본문 바로가기

RS85 Prestige

Vertrauen
in die pädiatrische
Ultraschalldiagnostik

Unsere Ultraschallsysteme für die Pädiatrie eignen sich für schnelle und genaue
Diagnosen vom Neugeborenen bis zum Teenager. Unsere modernen Systeme für die
Pädiatrie bieten eine beeindruckende Bildleistung,
diagnostische Genauigkeit, einfache Bedienung und hochfrequente Schallköpfe.

Anspruchsvolle Bildverarbeitung

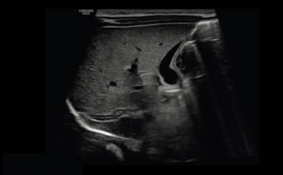
Verborgene Strukturen sehen

ShadowHDR™ wendet selektiv hohe und niedrige Frequenzen des Ultraschalls an, um Schattenbereiche zu identifizieren und ermöglicht dadurch ein verbessertes Bild.

Neonataler Kopf a
Hüfte a
Wirbelsäule a
Abdomen a

Unscharfe Bereiche im Bild reduzieren

Der Bildverbesserungsalgorithmus HQ-Vision™ dient der Reduktion von Unschärfe zur Unterstützung der Bildqualität.

Rauschunterdrückung zur Anpassung des 2D-Bildes

ClearVision ermöglicht anwendungsspezifische Anpassung und erweiterte zeitliche Auflösung im Live-Scan-Modus. Der Rauschunterdrückungsfilter unterstützt dabei die Kantenverstärkung und erzeugt scharfe 2D-Bilder für eine präzise Diagnose.

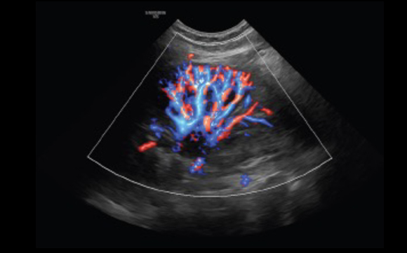
Visualisierung des langsamen Flusses in mikrovaskulären Strukturen

MV-Flow™ bietet Ihnen eine Alternative zum Powerdoppler zur Visualisierung von langsamen Flüssen. Hohe Bildraten und fortschrittliche Filtertechnologien ermöglichen eine detaillierte Ansicht des Blutflusses in Relation zum umgebenden Gewebe oder der Pathologie, in einer angepassten räumlichen und zeitlichen Auflösung.

Milz mit MV-Flow™ ³

Anzeige des Blutflusses in einer 3D-ähnlichen Darstellung

LumiFlow™ bietet eine plastische Darstellung des Blutflusses und mikrovaskulärer Strukturen. Diese intuitive dreidimensionale Visualisierung ermöglicht die Differenzierung eng benachbarter Gefäße.

Niere S-Flow™ mit LumiFlow™

Smarte Diagnose Features

Kontrastmittel verstärkter Ultraschall

Die Technologie CEUS+ ¹ nutzt die Eigenschaften von Ultraschallkontrastmitteln und bietet Ihnen die Möglichkeit der Beurteilung von Perfusion und Reflux in Echtzeit. Darüber hinaus bieten Ihnen die Samsung Technologien VesselMax™ und FlowMax™ eine klare Visualisierung von Gefäßen und Blutfluss.

Multimodale Fusionsbiopsien mit hoher Präzision

S-Fusion™ ermöglicht die gleichzeitige Lokalisierung einer Läsion mittels Echtzeit-Ultraschall kombiniert mit anderen volumetrischen Bildgebungsmodalitäten. Ferner wird eine präzise Zielbestimmung bei interventionellen und anderen modernen klinischen Verfahren ermittelt. Die neue Auto-Registrierung von Samsung hilft bei der schnellen und präzisen Fusion der Bilder für hohe Effizienz.

Klare Darstellung der Nadelspitze

NeedleMate+™ ermöglicht Ihnen, durch Verwendung eines zusätzlichen Beamsteering, die exakte Platzierung der Nadel und kann so Ihre Ultraschallbiopsien sowie Ihre lokalen Anästhesien unterstützen.

Hohe Effizienz

Echtzeit-Bildstreaming-Lösung

SonoSync™ ist eine live Bildstreaming-Lösung zwischen einem Ultraschallsystem und einem kompatiblen PC, Smartphone oder Tablet. Mittels Sprachchat und Markierungsfunktionen können zwei Ärzte ortsunabhängig während eines Ultraschalls in Echtzeit kommunizieren. Ergänzend ermöglicht Ihnen die SonoSync™ MultiVue-Funktion, mehrere Ultraschallstreams von verschiedenen Ultraschallsystemen auf einem Bildschirm darzustellen.

* SonoSync™ ist eine Lösung zur gemeinsamen Nutzung von Echtzeit Ultraschallbildern.

Vordefinierte Protokolle
für einen simplen Prozess

EzExam+™ weist Protokolle Untersuchungen zu, die regelmäßig durchgeführt werden, um die Anzahl der Schritte zu reduzieren, die Sie durchlaufen müssen.

Direkter Vergleich vergangener
und aktueller Untersuchungen

EzCompare™ gleicht die Bildeinstellungen, Anmerkungen und Bodymarker der vorherigen Untersuchung automatisch in einer Seite-an-Seite-Anzeige ab.

Ähnliche Produkte

RS85 Prestige
The Real Revolution

Die RS85 Prestige ist Samsungs Premium-Ultraschallsystem, das vor allem durch seine integrierten Lösungen überzeugt. Mittels exquisiter Bildqualität und intelligenten Experten-Tools werden Sie dabei unterstützt - selbst bei komplexen Fragestellungen - sichere und schnelle Entscheidungen zu treffen.

  • Dieses Produkt, seine Funktionen, Optionen und Sonden sind nicht in allen Ländern im Handel erhältlich.
  • Der Verkauf und Versand erfolgt nach Auflagen der örtlichen Aufsichtsbehörden. Bitte wenden Sie sich für weitere Informationen an Ihren regionalen Vertriebsmitarbeiter.
  • Dieses Produkt ist ein medizinisches Gerät, bitte lesen Sie die Gebrauchsanweisung vor dem Gebrauch sorgfältig durch.
  • Prestige ist keine Produktbezeichnung, sondern ein Begriff für Marketingzwecke.
  • Die Sondenbezeichnung mit zwei Sternchen wird nur vom RS85 Prestige Ultraschallsystem unterstützt.
  • a.Mit dem RS85 Ultraschallsystem aufgenommenes Bild.
  • b.Mit dem V8 Ultraschallsystem aufgenommenes Bild.
  • 1.Optionale Funktion, die möglicherweise zusätzlich erworben werden muss.
  • 2.Strain-Werte für ElastoScan+ werden in den USA und Kanada nicht verwendet.
  • 3.SonoSync™ ist eine Echtzeit-Bildstreaming-Lösung

KONTAKTIEREN SIE UNS Haben Sie noch weitere Fragen? Wir unterstützen Sie gerne dabei, die richtige Lösung für Sie zu finden. Telefon: +49 (0)6196 93 40 246* E-Mail: HME@samsung.de

* Kosten laut Konditionen des Vertragspartners für Festnetz- oder Mobilfunkanschlüsse.