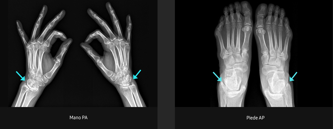
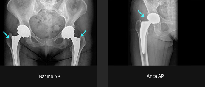
Immagini di qualità elevata

S-Vue™ fornisce immagini in alta risoluzione e di qualità eccellente per garantire il massimo dell'accuratezza e dell'affidabilità diagnostica. Il motore di imaging S-Vue™ è dotato di filtro adattivo e tecnologie di elaborazione che offrono nitidezza e leggibilità straordinarie.

Immagini sempre chiare e nitide

S-Vue™ produce immagini ottime e affidabili in diverse condizioni di esame e di fronte a differenti strutture anatomiche.

Torace

Immagini radiografiche in diverse condizioni di esame Immagini radiografiche in diverse condizioni di esame Immagini radiografiche in diverse condizioni di esame Immagini radiografiche in diverse condizioni di esame

Addome

Immagini radiografiche in diverse condizioni di esame Immagini radiografiche in diverse condizioni di esame Immagini radiografiche in diverse condizioni di esame Immagini radiografiche in diverse condizioni di esame

Colonna vertebrale lombare AP

Immagini radiografiche in diverse condizioni di esame Immagini radiografiche in diverse condizioni di esame Immagini radiografiche in diverse condizioni di esame Immagini radiografiche in diverse condizioni di esame

Auto Shutter

Immagini radiografiche in diverse condizioni di esame Immagini radiografiche in diverse condizioni di esame Immagini radiografiche in diverse condizioni di esame Immagini radiografiche in diverse condizioni di esame

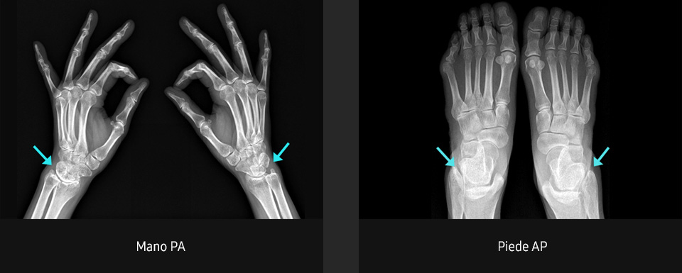
Più definizione e nitidezza

Grazie alla maggiore definizione e chiarezza è possibile vedere nel dettaglio i vasi polmonari e le strutture sovrapposte.

Torace

Immagini radiografiche in diverse condizioni di esame con elevata definizione e chiarezza Immagini radiografiche in diverse condizioni di esame con elevata definizione e chiarezza Immagini radiografiche in diverse condizioni di esame con elevata definizione e chiarezza Immagini radiografiche in diverse condizioni di esame con elevata definizione e chiarezza

Colonna vertebrale lombare

Immagini radiografiche in diverse condizioni di esame con elevata definizione e chiarezza Immagini radiografiche in diverse condizioni di esame con elevata definizione e chiarezza Immagini radiografiche in diverse condizioni di esame con elevata definizione e chiarezza Immagini radiografiche in diverse condizioni di esame con elevata definizione e chiarezza

Area di sovrapposizione

Immagini radiografiche in diverse condizioni di esame con elevata definizione e chiarezza Immagini radiografiche in diverse condizioni di esame con elevata definizione e chiarezza Immagini radiografiche in diverse condizioni di esame con elevata definizione e chiarezza Immagini radiografiche in diverse condizioni di esame con elevata definizione e chiarezza

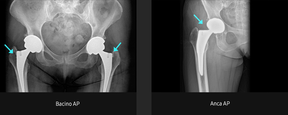
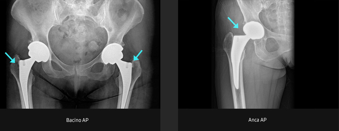
Bacino

Immagini radiografiche in diverse condizioni di esame con elevata definizione e chiarezza Immagini radiografiche in diverse condizioni di esame con elevata definizione e chiarezza Immagini radiografiche in diverse condizioni di esame con elevata definizione e chiarezza Immagini radiografiche in diverse condizioni di esame con elevata definizione e chiarezza

Impostazione di contrasto regolabili

Il contrasto può essere impostato secondo le preferenze dell'utente per semplificare l'ottimizzazione dell'immagine

Colonna vertebrale cervicale in proiezione laterale

Immagini radiografiche in diverse condizioni di esame con elevata definizione e chiarezza Immagini radiografiche in diverse condizioni di esame con elevata definizione e chiarezza Immagini radiografiche in diverse condizioni di esame con elevata definizione e chiarezza Immagini radiografiche in diverse condizioni di esame con elevata definizione e chiarezza

Piede in proiezione obliqua

Immagini radiografiche in diverse condizioni di esame con elevata definizione e chiarezza Immagini radiografiche in diverse condizioni di esame con elevata definizione e chiarezza Immagini radiografiche in diverse condizioni di esame con elevata definizione e chiarezza Immagini radiografiche in diverse condizioni di esame con elevata definizione e chiarezza

* I risultati possono variare in base all'utilizzo individuale