Sorry for the inconvenience.

Chinese users are only allowed to visit websites which complies with the PIPL (Personal Information Protection Law of the People's Republic of China) effective November 1st.

▲ Scan or click the QR code to visit 三星医疗




The personal information of existing Samsunghealthcare.com chinese users will be kept until October 29th and will be safely deleted thereafter.

Upgrade browser for full Samsung Healthcare experience

It looks like you may be using a web browser that we don’t support.
Make sure you’re using one of these recommended browsers,
or upgrade your browser by clicking the icons, to get the full Samsung Healthcare experience.

To check which browser you use

https://whatsmybrowser.org/
본문 바로가기

Persiguiendo la Excelencia

HERA W9

Conozca el nuevo equipo de ultrasonido premium específico para la salud de la mujer diseñado para aumentar la confianza y la eficiencia en la atención médica para las mujeres. El nuevo HERA W9 combina una tecnología de imagen superior con un diseño ergonómico para optimizar el flujo trabajo. Con la innovadora tecnología Crystal Architecture ™ y las principales tecnologías de procesamiento de imágenes, HERA W9 produce imágenes realistas, con alta resolución para una precisión excepcional.

Persiguiendo la Excelencia, HERA W9 Persiguiendo la Excelencia, HERA W9

Redefiniendo las tecnologías
de imagen gracias al Crystal Architecture

Crystal Architecture es una arquitectura de imagen que combina CrystalBeam y CrystalLive™ sobre la tecnología de transductores S-Vue, para proporcionar imágenes limpias y nítidas.

  • - CrystalBeam es una nueva tecnología de formación de haces que contribuye a una soberbia resolución y mayor uniformidad de las imágenes.
  • - CrystalLive es el motor de imágenes de ultrasonido más reciente de Samsung con un mayor procesamiento de imágenes 2D, renderizado 3D y procesamiento de señales de color mejorados. Ofrece un rendimiento de imagen excepcional y un trabajo eficiente durante el estudio de casos complejos.
  • X2 Memoria GPU

    Para un rápido rendimiento *

  • X11 La capacidad de

    Procesamiento para imágenes de
    alta calidad *

  • X10 Ratio de

    Transferencia de datos
    para unos frame rates rápidos *

* Comparado con Samsung WS80A

Nueva formacion de haces para la generación de imágenes en profundidad

CrystalBeam utiliza tecnologías de transmisión de onda arbitraria, formaciones masivas de haces paralelos y apertura sintética para aportar un mayor frame rate y una mejora en la uniformidad de imagen.

  • Convencional

    Transmisión arbitraria
    de ondas

  • Resolución espacial

    Haces paralelos
    masivos

  • CrystalBeam

    Resolución de contraste

  • Apertura
    sintética

    Frame Rate

* Comparado con Samsung WS80A

Imágenes sofisticadas de 2D
y color procesado por CrystalLive

CrystalLive ayuda a hacer un diagnóstico más seguro con imágenes 2D fundamentales. Algunas de las principales ventajas de las imágenes 2D son la supresión de sombras, lessened halo artifacts, la disminución del halo de los artefactos y la mitigación del área borrosa.

Realce de las estructuras ocultas en las zonas de sombra

Cerebro fetal

ShadowHDR aplica de forma selectiva frecuencias de ultrasonidos altas y bajas para identificar áreas oscuras, como la cabeza o la columna fetal, donde se produce la atenuación.

más

Reducir el ruido para mejorar la calidad de la imagen 2D

Corazón fetal

El fi ltro de reducción de ruido mejora el contraste de los bordes y crea imágenes 2D nítidas para un rendimiento óptimo del diagnóstico. Además, ClearVision proporciona una optimización específi ca para la aplicación y una resolución temporal avanzada en el modo de exploración en vivo.

más

Limpia las áreas borrosas en la imagen

Columna fetal

HQ-Vision proporciona imágenes más claras al mitigar los artefactos característicos de las imágenes de ultrasonidos que son ligeramente más borrosas que la visión real.

más

Descripción realista de rendimiento 3D/4D

CrystalLive en 3D/4D proporciona a los usuarios imágenes más realistas y de alta resolución. Supera a las tecnologías de imagen 3D convencionales en cuanto a la visualización de pequeños detalles y efectos de iluminación.

Visualice estructuras internas y externas con la reconstrucción volumétrica

Dispositivo intrauterino con CrystalVue

CrystalVue  es una tecnología avanzada de renderizado de volumen que mejora la visualización de las estructuras internas y externas, en una sola imagen renderizada utilizando una combinación de intensidad, gradiente y posición.

más

Muestra la anatomía 3D en una visión realista y detallada

OB temprano con RealisticVue™

RealisticVue muestra la anatomía en 3D de alta resolución con un detalle excepcional y una percepción de profundidad realista. La dirección de la fuente de luz seleccionable por el usuario genera sombras graduadas orientables para definir mejor las distintas estructuras anatómicas.

más

Imágenes de volumen de alta definición

Fetal spine with 3D

HDVI  es una tecnología de renderizado de volúmenes que mejora la visualización de bordes y pequeñas estructuras en los datos de volumen. La expresión marginal mejorada y la saturación de la imagen muestran los mínimos detalles de los perfiles y sombras fetales.

más

Expresión detallada de la dinámica del flujo sanguíneo

El rendimiento del color CrystalLive ha sido mejorado para visualizar claramente la hemodinámica del flujo sanguíneo. La mayor sensibilidad resultante del nuevo procesamiento de la señal de color permite una detección precisa de los vasos sanguíneos periféricos, los flujos sanguíneos micro circulatorios y los volúmenes de flujos sanguíneos lentos.

Mostrar el flujo sanguíneo en los vasos en apariencia 3D

Doppler en color con LumiFlow (vista de 4 cámaras)

LumiFlow es una función que visualiza el flujo sanguíneo en apariencia dimensional para ayudar a comprender la estructura del flujo sanguíneo y los vasos pequeños de forma intuitiva.

más

Visualización de estructuras¹ micro vasculares de flujo lento

Pericallosal Artery with MV-Flow

MV-Flow ofrece una novedosa alternativa al Power Doppler para visualizar el flujo lento de las estructuras microvasculares. Las altas velocidades de fotogramas y el filtrado avanzado permiten a MV-Flow proporcionar una visión detallada del flujo sanguíneo en relación con el tejido circundante o la patología con una resolución espacial mejorada.

más

Examinar los vasos periféricos con Power Doppler Direccional

S-Flowwith LumiFlow(Aortic arch view)

S-Flow, una tecnología de imagen Power Doppler direccional, puede ayudar a detectar incluso los vasos sanguíneos periféricos. Permite un diagnóstico preciso cuando el examen del flujo sanguíneo es especialmente difícil.

más

Sistema de diagnóstico enriquecido,
excelencia en la utilización

Las imágenes creadas por las tecnologías Crystal Architecture mejoran varias funciones de diagnóstico de ultrasonido de Samsung. Las diversas tecnologías de HERA W10 para examinar el crecimiento del feto y la salud de la mujer en informes detallados le ayudarán a crear más confianza y mejorar el flujo de trabajo en su diagnóstico.

AI ViewAssist ¹

Clasificación automática de las imágenes de ultrasonido y anotación de las estructuras

ViewAssist proporciona clasificación automática de las imágenes ecográficas y anotaciones de las estructuras para ayudar a los profesionales sanitarios con mediciones adecuadas.

más

AIContorno uterino

Ayuda a identificar malformaciones uterinas

Uterine Contour extrae automáticamente la línea central y el grosor del endometrio curvado y proporciona una vista coronal en 3D, aplanada por la línea central. Además, se informa de la clasificación de las malformaciones uterinas según la
ESHRE/ESGE* o ASRM*

  • * ESHRE/ESGE : la Sociedad Europea de Reproducción Humana y Embriología/Sociedad Europea de Endoscopia Ginecológica.
  • * ASRM : la Sociedad Estadounidense de Medicina Reproductiva.
más

AI BiometryAssist

Una medición semiautomática de los parámetros de biometría fetal

BiometryAssist, la tecnología semiautomática para la medición biométrica, permite a los usuarios medir el crecimiento del feto con mayor rapidez y precisión mientras se mantiene la coherencia del estudio.

más

Slice A ¹

Una característica para aumentar la resolución de contraste a través de volumen de diapositivas gruesas

Slice A es una función que mejora la resolución del contraste de las imágenes del plano A Al componer múltiples imágenes del plano A, ayuda a analizar tejidos o estructuras que son difíciles de ver con imágenes en 2D.

más

5D CNS+ ¹ (Sistema nervioso central)

Herramienta de medición rápida del cerebro basada en datos de volumen

5D CNS+ utiliza la navegación inteligente para proporcionar 6 mediciones de 3 vistas transversales del cerebro fetal para mejorar la reproducibilidad de las mediciones y agilizar el trabajo.

más

5D Limb Vol. ¹

Rápida herramienta de estimación del peso fetal para comprobar el crecimiento del feto

5D Limb Vol. es una herramienta semiautomatizada para la predicción la estimación del peso fetal que permite medir rápidamente y con precisión los volúmenes de la parte superior del brazo o del muslo desde 3 puntos simples en un único conjunto de datos volumétricos.

más

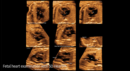
5D Heart

Examen rápido del corazón del feto con 9 planos estándar

La función proporciona 9 planos estándar del corazón mediante el uso de los datos de STIC fetal, así como información importante sobre el desarrollo del corazón del feto de una manera fácil y precisa de acuerdo con la directriz de AIUM.

más

Imágenes clínicas

  • MV-Flow con LumiFlow
    (Cerebro fetal)

  • DBP con MV-Flow

  • Útero con S-Harmonic

  • S-Flow con LumiFlow
    (Vista de las cuatro cámaras del corazón fetal)

  • Visualización de 4ca del corazón fetal

  • 9 vistas estándar del corazón fetal con 5D Heart Color

  • Rostro fetal con RealisticVue

  • Columna vertebral con CrystalVue

  • Rostro fetal con HDVI

MV-Flow with LumiFlow (Fetal brain)

BPD con MV-Flow

Útero con S-Harmonic

S-Flow with LumiFlow (Four-chamber view of fetal heart)

Visualización de 4ca del corazón fetal

9 vistas estándar del corazón fetal con 5D Heart Color

Rostro fetal con RealisticVue

Columna vertebral con CrystalVue

Rostro fetal con HDVI

FreeForm

La ergodinámicidad más moderna para su comodidad y productividad

FreeForm se refiere al nuevo tema de diseño de Samsung. Se ha desarrollado para proporcionar una mejor experiencia de diagnóstico al reducir la necesidad de moverse de un lugar a otro. Nuestro objetivo es satisfacer el entorno de trabajo del usuario mediante un mecanismo en el panel de control que proporciona un amplio espacio de movimiento, valorando el alcance del brazo del usuario. Esto permite ofrecer además un espacio suficiente para las rodillas del operador.

Endocavity Transducer Holder, Cable Management, Mood Light Endocavity Transducer Holder, Cable Management, Mood Light Endocavity Transducer Holder, Cable Management, Mood Light

Colaboración eficaz en tiempo real,
personalizable para su forma de trabajar

Creemos que un sistema verdaderamente bueno ofrece condiciones de trabajo centradas en el usuario. Nuestra solución colaborativa permite a los usuarios cooperar, supervisar y educar en tiempo real, independientemente de dónde se encuentren. El flujo de trabajo racionalizado apoya sus procedimientos diarios al reducir las pulsaciones de teclas y combinando múltiples acciones en una sola. Los usuarios tienen la opción de definir sus ajustes de diagnóstico basados en un protocolo personalizado, lo que resulta en un proceso de examen más simplificado y un flujo de trabajo más rápido.

SonoSync* ¹ Una solución para compartir imágenes en tiempo real

SonoSync está disponible para PC y teléfonos inteligentes, entre otros, y es una solución para compartir imágenes en tiempo real que permite a los médicos y ecografistas comunicarse durante las capacitaciones y el cuidado de la salud.
Además, ofrece funciones de comunicación por voz y texto y marcado en tiempo real a fin de optimizar la comunicación. También incluye la función MultiVue, que permite monitorear múltiples imágenes de ultrasonido desde una sola pantalla.

* SonoSync es una solución para compartir imágenes, no una solución de diagnóstico.

Ultrasound System, Network(Voice,Video,Marking), PC/Tablet/Smart Phone Ultrasound System, Network(Voice,Video,Marking), PC/Tablet/Smart Phone

HelloMom ¹ Transferencia sencilla de ecografías fetales,
imágenes y clips fetales

HelloMom es una solución sencilla y segura para compartir imágenes generando un código QR para las imágenes fetales seleccionadas. Las mujeres embarazadas y sus familiares pueden descargar las imágenes del feto escaneando el código QR utilizando el smartphone, reduciendo la molestia de instalar una aplicación independiente.

  • QuickPreset Para fácil pre ajuste del transductor

    Con solo un toque, usted puede seleccionar las combinaciones de transductor y preajustes más comunes. QuickPreset maximiza la efi ciencia para simplifi car su ocupado día de escaneos.

  • Gestión táctil para sus preferencias

    El Gesto Táctil permite de forma intuitiva rotar, hacer zoom y moverse mientras gestiona la imagen en 3D desde la pantalla táctil. Además, las manipulaciones como Oblique, MagiCut, etc. son convenientemente operadas.

  • Botón Contextual para un acceso cómodo

    Dependiendo de la elección de funciones durante el estudio por ultrasonidos, estas pueden ser asignadas a los botones del panel de control para reducir la molestia de la selección de menús.

Transductores

Transductores volumétricos

  • CV1-8A

    Abdomen, obstetricia y ginecología

  • EV3-10B

    rología, obstetricia y ginecología

  • EV2-10A

    Urología, obstetricia y ginecología

Transductores Convexos

  • CA1-7A

    Abdomen, obstetricia, ginecología, pediatría, bascular y musculoesquelético

  • CA3-10A

    Abdomen, obstetricia, ginecología, pediatría, bascular y musculoesquelético

  • CA2-9A

    Abdomen, obstetricia y ginecología

  • CF4-9

    Pediatría y vascular

Transductores Lineales

  • LA2-14A

    musculo esquelético, abdomen, obstetricia

  • L3-12A

    Pequeñas partes, vascular, musculoesquelético y abdomen

  • LA2-9A

    Pequeñas partes, vascular, musculoesquelético y abdomen

Transductores Endocavitarios

  • EA2-11AR*

    Urología, obstetricia y ginecología

  • EA2-11AV*

    Urología, obstetricia y ginecología

Transductores sectoriales

  • PA1-5A

    Cardio, TCD, abdomen

  • PA4-12B

    Cardiac, pediatric

  • PM1-6A

    Cardio, TCD y abdomen

  • PA3-8B

    Cardio, abdomen y pediatría

* Transductores Ergonómicos (EA2-11AR, EA2-11AV)

El nuevo diseño del transductor convex, con un agarre delgado y suave ayuda al usuario a escanear de forma sencilla y confortable. Las nuevas sondas endocavitarias favorecen el agarre natural al desplazar el punto de máxima anchura a una posición más adelantada y también aumentando la longitud de la empuñadura para permitir una distribución equilibrada del peso.

Asegure su atención médica

  • Prevención de intrusiones

    Herramientas de protección contra amenazas cibernéticas de ataques externos

    • - Herramientas de seguridad (antivirus y cortafuegos)
    • - Sistema operativo seguro
  • Control de acceso

    Refuerzo de la vigilancia al acceso a la información de los pacientes

    • - Gestión de cuentas
    • - Pista de auditoría mejorada
  • Protección de datos

    Funciones de encriptación para salvaguardar los datos, tanto en modo reposo o como en proceso

    • - Encriptación de datos
    • - Seguridad de la transmisión
  • Calidad de imagen
  • Imágenes clínicas
  • Ergodinámica
  • El flujo de trabajo
  • Transductores
  • Este producto, sus características, opciones y transductores no están disponibles comercialmente en todos los países.
  • Debido a razones normativas no se puede garantizar su futura disponibilidad.
  • Por favor, póngase en contacto con su red de ventas local para obtener más detalles.
  • Este producto es un dispositivo médico, por favor, lea atentamente el manual de usuario antes de utilizarlo.
  • S-Vue Transducer™ es el nombre de la avanzada tecnología de transductores de Samsung.
  • Todas las imágenes clínicas de este catálogo son adquiridas por el sistema de ultrasonido HERA W10.
  • SonoSync es una solución para compartir imágenes.
  • 1. Función opcional que puede requerir una compra adicional.

La información del producto descrita, incluidas las funciones y opciones, posee el marcado CE. El estado de aprobación/autorización regulatorio puede variar según el país. CE 0123