Solución para análisis hepático avanzado que brinda
evaluaciones hepáticas integrales y precisiones necesarias
El cáncer es una de las principales causas de muerte en todo el mundo, responsable de aproximadamente 10 millones de muertes en 2020 [1]. El cáncer de hígado es una carga mundial, es el 6.° cáncer más frecuente y todos los años se diagnostican aproximadamente 900.000 personas con cáncer de hígado [2]. Además, según la OMS, el cáncer de hígado fue reconocido como la 3.° causa de muerte por cáncer más frecuente en 2020 (830.000 defunciones) [1].
Las causas más comunes de muerte por cáncer en 2020 [1]
El término hígado graso no alcohólico (HGNA) es un término general que abarca un espectro de afecciones, como depósitos de grasa en el hígado, esteatohepatitis, fibrosis del hígado y cirrosis, que se pueden detectar mediante un ultrasonido y biopsia del hígado, y no son provocadas por el consumo de alcohol ni se acompañan de otras afecciones.
En las cifras recientes se muestra que la frecuencia del HGNA en Asia y EE. UU. es de aproximadamente el 30 %, mientras que la frecuencia global es de aproximadamente el 25 % [4].
Los depósitos de grasa en el hígado pueden aumentar las posibilidades de desencadenar respuestas inflamatorias y también provocan fibrosis del hígado. Por lo tanto, es importante supervisar continuamente al hígado una vez que el paciente recibe el diagnóstico de hígado graso.
Nuestra solución de análisis hepático puede rastrear desde el comienzo de los seguimientos posoperatorios y puede cubrir un amplio rango de enfermedades hepáticas.
EzHRI™ coloca 2 ADI en el parénquima hepático y la corteza renal y proporciona la relación HRI*. Ofrece un flujo de trabajo conveniente y mejorado al sugerir ADI iniciales y calcula la relación promedio de brillo del parénquima hepático y la corteza renal.
La TAI™ (obtención de imágenes de atenuación de tejidos) s una herramienta que mide cuantitativamente la atenuación de las señales de ultrasonido que se reciben del hígado. TAI™ cuantifica la atenuación sobre la base de los cambios en la frecuencia central en condiciones de trasmisión y recepción óptimas.
La TSI™ (obtención de imágenes de sincronización de tejidos) es una herramienta que cuantifica la sincronización de la señal sobre la base de las señales de retrodifusión. La dispersión, la reflexión de las ondas de ultrasonido en varias direcciones que no están afectadas por su ángulo de ingreso, produce patrones moteados en las imágenes de ultrasonido y esto cambia la distribución de las señales de ultrasonido de retrodifusión según la intensidad de la dispersión.
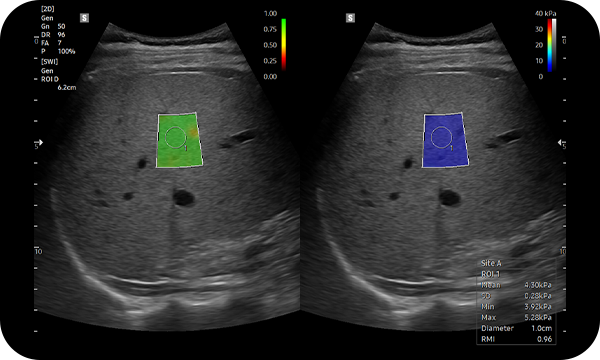
S-Shearwave Imaging™ permite una evaluación no invasiva de la rigidez del tejido/lesiones del hígado. Las funciones de elastograma con códigos de colores, las mediciones cuantitativas, la opción de pantalla simple o doble y el ADI definido por el usuario son muy útiles para el diagnóstico preciso de las enfermedades hepáticas.
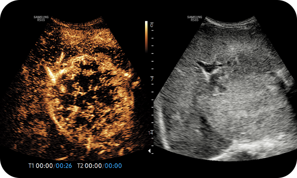
CEUS+ es una tecnología de imagen de mejora de contraste que utiliza las características de los agentes de contraste de ultrasonido. El agente de contraste de microburbujas que se inyecta al cuerpo por la vena o similar se somete a una resonancia no lineal debido a la estimulación de la energía del ultrasonido. Además de la señal no lineal generada por este método, la imagen de contraste de ultrasonido se implementa utilizando la señal armónica y, de esta forma, se utiliza para el diagnóstico basado en las características de contraste a lo largo del tiempo.
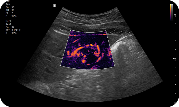
MV-Flow™ isualiza el flujo sanguíneo microcirculatorio y lento para mostrar la intensidad en color. Este modo es adecuado para observar el flujo sanguíneo microcirculatorio y el volumen de flujo sanguíneo lento.
S-Fusion™ para el hígado permite la localización simultánea de una lesión mediante el ultrasonido en tiempo real combinado con otras modalidades de diagnóstico por imagen volumétrico. El registro automático de Samsung fusiona las imágenes de forma rápida y precisa, lo cual aumenta la eficiencia y reduce el tiempo del procedimiento. S-Fusion™ permite un enfoque preciso durante los procedimientos de intervención y otros procedimientos clínicos avanzados
Coincidencia auto (coincidencia automática) permite el registro inicial automático mediante la fijación de marcadores externos al cuerpo del paciente antes de procesar el examen S-Fusion™, para así ayudar a un examen rápido y preciso.
Posicionamiento auto (posicionamiento automático) ayuda a un examen rápido y eficiente con el registro inicial de un paso entre las imágenes de TC/RM y ultrasonido al colocar el transductor en el hueco del estómago del paciente antes del escaneo.
S-Tracking aumenta la precisión durante los procedimientos de intervención al proporcionar una ruta de aguja simulada y una marca de destino dentro de la imagen de ultrasonido en vivo. ClearTrack, una de las dos funciones que ofrece S-Tracking, garantiza la precisión mediante el uso de una aguja especializada con una punta de sensor. S-Tracking también incluye VirtualTrack, que usa agujas convencionales para proporcionar precisión y beneficio económico a la vez.



