Sorry for the inconvenience.

Chinese users are only allowed to visit websites which complies with the PIPL (Personal Information Protection Law of the People's Republic of China) effective November 1st.

▲ Scan or click the QR code to visit 三星医疗




The personal information of existing Samsunghealthcare.com chinese users will be kept until October 29th and will be safely deleted thereafter.

Upgrade browser for full Samsung Healthcare experience

It looks like you may be using a web browser that we don’t support.
Make sure you’re using one of these recommended browsers,
or upgrade your browser by clicking the icons, to get the full Samsung Healthcare experience.

To check which browser you use

https://whatsmybrowser.org/
본문 바로가기

HM70 EVO

HM70 EVO
Increased Operational Efficiency

The simple, intuitive interfaces enable users to immediately get to work in emergency situations. The HM70 EVO is engineered to provide the most direct interfaces and smooth actions from anywhere, avoiding delays caused by configuration. Samsung has considered even the smallest details of usability to support users with the exceptional possible performance.

Highly Usable Design

The wave pattern of the exterior surface and the honeycomb structure of the internal design communicate strength and confidence to the healthcare professionals. The magnesium case surrounding the system and enhanced battery performance offer true usability and endurance.


Mobile Excellence

Versatility
Supports various applications and patient types
Stability
Stable performance migrating Samsung cart-based imaging engine
Intuitiveness
Intuitive interfaces for enhanced usability
Durability
Stiffness improved by 38% for various environmental usage
Mobility
Go almost a whole working day on a single charge

The HM70 EVO ultrasound system is a high-performance hand-carried ultrasound system, evolved to support a diverse range of applications and patients. The system has streamlined workflow, durability, and high resolution imaging that can be used in a variety of clinical situations. Samsung has harmonized the key aspects of the HCU to meet today's changing needs and provide healthcare professionals the confidence they need in their work environment.

Imaging with exceptional quality

Exceptional image clarity and penetration is adapted from Samsung's high-end imaging platform to produce clear, uniform, high resolution 2D and color images. The HM70 EVO delivers sophisticated imaging technologies to empower ultrasound professionals with diagnostic confidence wherever needed.

Noise reduction filter to improve 2D image quality

The noise reduction filter improves edge enhancement and creates sharp 2D images for optimal diagnostic performance. In addition, ClearVision provides application-specific optimization and advanced temporal resolution in live scan mode.

Liver with ClearVision
Clarify blurred area to provide clearer images

HQ-Vision™¹ provides clear images by mitigating the characteristics of ultrasound images that are slightly blurred than the actual vision.

Shoulder with HQ-VisionTM
Uniform imaging performance of overall image area from near-to-far

S-Harmonic mitigates the signal noise, enhances contrast, and provides uniform image performance of overall image area from near-to-far.

Gall bladder with S-HarmonicTM
Directional power Doppler to examine peripheral vessels

The function uses directional power Doppler technology, enabling you to examine even the peripheral vessels. It displays information on the intensity and direction of blood flow.

Kidney with S-Flow™ in Dual Live

Increased Operational Efficiency

The simple, intuitive interfaces enable users to immediately get to work in emergency situations. The HM70 EVO is engineered to provide the most direct interfaces and smooth actions from anywhere, avoiding delays caused by configuration. Samsung has considered even the smallest details of usability to support users with the exceptional possible performance.

Intuitively tuned interfaces

Intuitive buttons and screen layouts are optimized to express information clearly and enable complex actions to be simply performed.

Storage popup icon, Battery popup icon

View images and cines in full screen

In the FullScreen mode, the ultrasound examination can be performed while viewing the image/cine that is fully expanded to the entire monitor.

FullScreen layout 1, FullScreen layout2

Quickly exam even in an emergency case

In case of emergency, the QuickExam function allows to begin an exam with a temporary ID and patient information can be modified after the exam.

Build predefined protocols to ensure every step is followed every time

EzExam+™¹ enables users to build or to use predefined protocols. It transforms the ultrasound investigation into a streamlined process. EzExam+™¹ ensures the full investigation is performed, eliminating the risk of forgetting an image or loop capture, as well as measurement and transducer preset change.

Select your transducer and preset combination with one touch

With one touch, the user can select the most common transducer and preset combinations. QuickPreset increases efficiency to make a full day of scanning simple and easy.

Provide valuable reference tool to help in scanning

As a reference tool for plane scanning, EzAssist™¹ has multiple clinical applications during live scanning. This allows clinicians to practice procedures using valuable reference materials such as clinical reference images and animation.

Save image data directly to USB memory

QuickSave function allows image data to be saved directly on USB memory during the exam.

Highly Usable Design

The wave pattern of the exterior surface and the honeycomb structure of the internal design communicate strength and confidence to the health care professionals. The aluminium case surrounding the system and enhanced battery performance offer true usability and endurance.

Available in Various Clinical Environment

  • Adbomen
  • Cardiac
  • Vascular
  • Musculoskeletal
  • Breast
  • Small parts

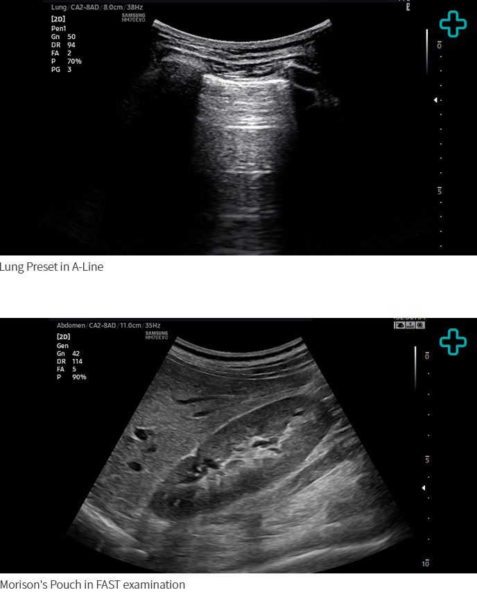
The HM70 EVO supports a wide range of clinical applications, environments, and patient types—including abdomen, cardiac, vascular, musculoskeletal, breast, emergency, and small parts. Especially, HM70 EVO reinforces the EM application with Lung and FAST presets. The versatility enables healthcare professionals to perform effectively on targeted examinations.

Lung Preset in A-Line, Morison's Pouch in FAST examination Lung Preset in A-Line, Morison's Pouch in FAST examination
Convenient carrying case safely protects the system with shockproof cushion
The carrying case allows you to safely and conveniently transport your whole package, including ultrasound system, transducers, and other accessories.
Connect up to 3 transducers and save your time from switching over transducers
You can connect up to three transducers at once using the extended transducer ports on the optional cart, saving time and effort spend switching transducers in situations where every second counts.
Go almost a whole working day on a single charge
Go almost a whole working day on a single charge

Secure Your Care

Samsung Healthcare Cybersecurity

Bringing peace of mind to your hospital and patients

To address the emerging need for cybersecurity, Samsung provides a solution to support our customers by offering the tools to protect against cyberthreats that may compromise invaluable patient data and ultimately degrade the quality of care. Samsung’s Cybersecurity Solution strives to abide by the CIA triad (Confidentiality, Integrity, and Availability) and takes a comprehensive approach to providing impeccable protection with the following pillars: Intrusion prevention, Access control, and Data protection.

  • Intrusion Prevention

    Tools for protecting against cyber threats from external attacks

    • Security tools include Anti-virus & Firewall
    • Secured operating system
  • Access Control

    Strengthened surveillance for tracking the access of patient information

    • Account management
    • Enhanced audit trail
  • Data protection

    Encryption functions for safeguarding data whether at-rest or in-transit

    • Data protection
    • Transmission security
LEARN MORE
  • This product, features, options and transducers are not commercially available in all countries.
  • Due to regulatory reasons their future availability cannot be guaranteed.
  • Please contact your local sales network for further details.
  • This product is a medical device, please read the user manual carefully before use.
  • S-Vue Transducer is the name of Samsung’s advanced transducer technology.
  • All clinical images on this page are acquired by the HM70EVO ultrasound system.

1.Optional feature which may require additional purchase.

The described product information, including features and options, is CE marked. Regulatory approval/clearance status may vary by country. CE 0123