Sorry for the inconvenience.

Chinese users are only allowed to visit websites which complies with the PIPL (Personal Information Protection Law of the People's Republic of China) effective November 1st.

▲ Scan or click the QR code to visit 三星医疗




The personal information of existing Samsunghealthcare.com chinese users will be kept until October 29th and will be safely deleted thereafter.

Upgrade browser for full Samsung Healthcare experience

It looks like you may be using a web browser that we don’t support.
Make sure you’re using one of these recommended browsers,
or upgrade your browser by clicking the icons, to get the full Samsung Healthcare experience.

To check which browser you use

https://whatsmybrowser.org/
본문 바로가기

Pursuit of Excellence

HERA W9

Meet the new premium women’s ultrasound designed to elevate confidence and efficiency in women’s healthcare. The new HERA W9 ultrasound system combines superior imaging technology with ergonomic design to advance workflow. Featuring the innovative Crystal Architecture™ and premier image processing technologies, HERA W9 produces realistic, high-resolution images for exceptional accuracy.

ultrasound device HERA W9 ultrasound device HERA W9

Redefined imaging technologies
powered by Crystal Architecture

Crystal Architecture is an imaging architecture that combines CrystalBeam™ and CrystalLive while based upon S-Vue Transducer, to provide crystal-clear images.

  • - CrystalBeam is a new beamforming technology beneficial in delivering high-quality image resolution, and increased uniformity of images.
  • - CrystalLive is Samsung’s up-to-date ultrasound imaging engine with enhanced 2D image processing, 3D rendering and color signal processing, wherein provide enriched image performance and efficient workflow during complex cases.
powerful imaging technologies powerful imaging technologies powerful imaging technologies
new ultrasound technology : Crystal Architecture™ new ultrasound technology : Crystal Architecture™ new ultrasound technology : Crystal Architecture™
  • new ultrasound technology : Crystal Architecture™
  • new ultrasound technology : Crystal Architecture™
  • new ultrasound technology : Crystal Architecture™
  • Fast Rendering

    X2 GPU Memory*

  • High-Quality Images

    X11 Processing power *

  • Fast Frame Rates

    x10 Data Transfer Rate *

* Compared to the Samsung WS80A

A new beamforming for
in-depth image creation

CrystalBeam utilizes Arbitrary Waveform Transmission, Massive Parallel Beamforming, and Synthetic Aperture technologies to produce a faster frame rate and improved image uniformity.

fetal images of ob gyn ultrasound : Conventional, fetal images of ultrasound obgyn : Better Spatial Resolution, fetal images of ultrasound ob gyn : Higher Frame Rate, Fetal images of obgyn ultrasound : More detailed and faster beam process fetal images of ob gyn ultrasound : Conventional, fetal images of ultrasound obgyn : Better Spatial Resolution, fetal images of ultrasound ob gyn : Higher Frame Rate, Fetal images of obgyn ultrasound : More detailed and faster beam process fetal images of ob gyn ultrasound : Conventional, fetal images of ultrasound obgyn : Better Spatial Resolution, fetal images of ultrasound ob gyn : Higher Frame Rate, Fetal images of obgyn ultrasound : More detailed and faster beam process
  • fetal images of ob gyn ultrasound : Conventional

    Conventional

    Arbitrary Waveform
    Transmissiom

  • fetal images of ultrasound obgyn : Better Spatial Resolution

    Spatial Resolution

    Massive Parallel
    Beamforming

  • Fetal images of obgyn ultrasound : More detailed and faster beam process

    CrystalBeam

    Contrast Resolution

  • fetal images of ultrasound ob gyn : Higher Frame Rate

    Synthetic
    Aperture

    Frame Rate

* Compared to the Samsung WS80A

Sophisticated 2D images
processed by CrystalLive

CrystalLive helps you to make more confident diagnoses with fundamental 2D images. Some major advantages of 2D images include shadow-suppressed images, lessened halo artifacts, and mitigated blurred area.

Visualize attenuated shadow area

imaging solutions of ob ultrasound : ShadowHDR™ - off imaging solutions of ob ultrasound : ShadowHDR™ - on
Fetal brain

ShadowHDR selectively applies high-frequency and low- frequency of the ultrasound to identify shadow areas such as fetal head or spine where attenuation occurs.

more

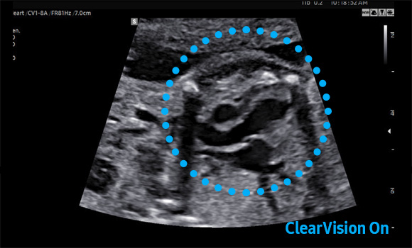
Improve 2D image quality with noise reduction filter

powerful imaging of ultrasound ob : ClearVision - off powerful imaging of ultrasound ob : ClearVision - on
Fetal heart

ClearVision provides clearer tissue boundaries using the noise reduction filter and generates sharp 2D images. It reduces halo artifact that occurs when the tissue contour is enhanced, and removes noises on the tissue boundaries.

more

Clarify blurred area to provide clearer images

imaging solutions of ob/gyn ultrasound : HQ-Vision™ - off imaging solutions of ob/gyn ultrasound : HQ-Vision™ - on
Fetal spine

HQ-Vision provides clearer images by mitigating the characteristics of ultrasound images that are slightly blurred than the actual vision.

more

Realistic description of 3D/4D performance

CrystalLive in 3D/4D provides users with more realistic and high-resolution images. It outdoes conventional 3D imaging technologies in terms of viewing small parts and lighting effects.

Visualization of internal and external structures with volume rendering

3d imaging of ultrasound ob gyn : CrystalVue™ Intra Uterine Device with CrystalVue

CrystalVue is an advanced volume rendering technology that enhances visualization of both internal and external structures in a single rendered image using a combination of intensity, gradient and position.

more

Realistic expression of 3D anatomy

3d imaging of ultrasound ob/gyn : RealisticVue™ Early fetus with RealisticVue

RealisticVue displays high resolution 3D anatomy with exceptional detail and realistic depth perception. User selectable light source direction creates intricately graduated shadows for better defined anatomical structures.

more

High Definition Volume Imaging

3d imaging of ob gyn ultrasound machines : HDVI™ Fetal spine with 3D

HDVI is a volume rendering technology that improves visualization of edges and small structures in volume data. Upgraded marginal expression and image saturation expresses the very details from angle to shadow of the fetus.

more

Detailed expression of blood flow dynamics

Color performance of CrystalLive has been improved to clearly visualize the hemodynamics of the blood flow. Greater sensitivity resulting from new color signal processing allows for a more accurate detection of peripheral blood vessels, microcirculatory blood flows, and volumes of slow blood flows.

Three dimensional-like visualization of blood flow

Color imaging of ultrasound machines : LumiFlow™ Color Doppler with LumiFlow (4 Chamber view)

LumiFlow is a three-dimensional visualization of blood flow, which helps to understand the structure of blood flow and small vessels intuitively.

more

Visualization of slow flow microvascularized structures ¹

Color imaging of ultrasound devices : MV-Flow™ Pericallosal Artery with MV-Flow

MV-Flow offers a novel alternative to power Doppler for visualizing slow flow of microvascularized structures. High frame rates and advanced filtering enable MV-Flow to provide a detailed view of blood flow in relation to surrounding tissue or pathology with enhanced spatial resolution.

more

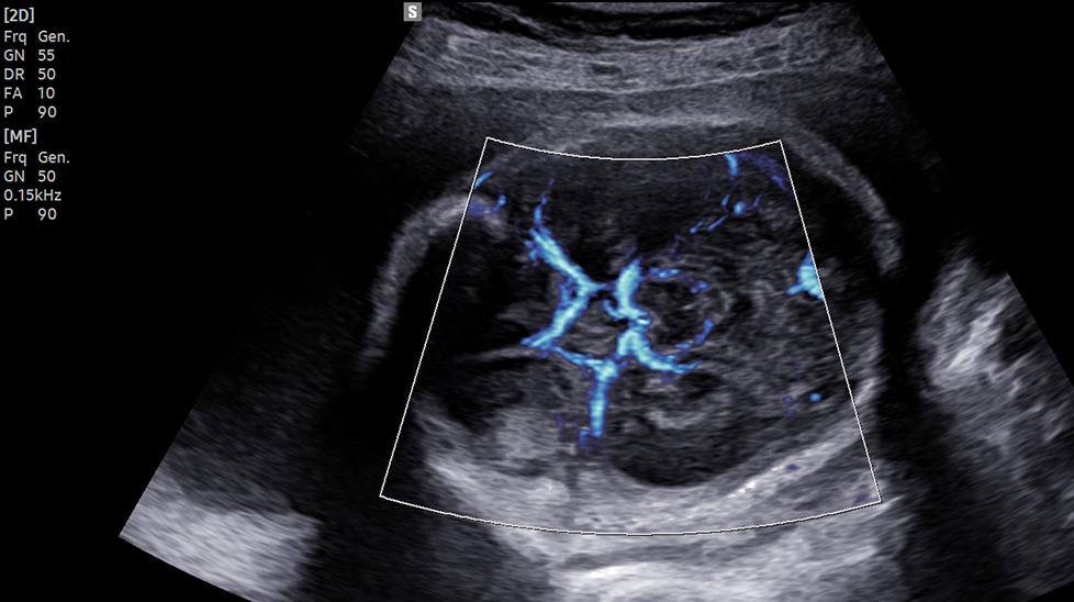
Directional power Doppler to examine peripheral vessels

Color imaging of ob/gyn ultrasound machine : S-Flow™ S-Flowwith LumiFlow(Aortic arch view)

S-Flow, a directional Power Doppler imaging technology, can help to detect even the peripheral blood vessels. It enables accurate diagnosis when blood flow examination is especially difficult.

more

Enriched diagnostic system,
excellence in utilization

Images created by the Crystal Architecture technologies enhance various diagnostic features of Samsung ultrasound. HERA W9’s diverse technologies to examine the growth of fetus and women’s health in detailed reports will help you build more confidence and enhance the workflow in your diagnosis.

AI ViewAssist ¹

A semi-automated classification of the images and annotation of the structures

ob gyn ultrasound machine tech : ViewAssist™

ViewAssist provides automatic classification of the ultrasound images and annotation of the structures to help healthcare professionals in convenient measurement.

more

AI Uterine Contour

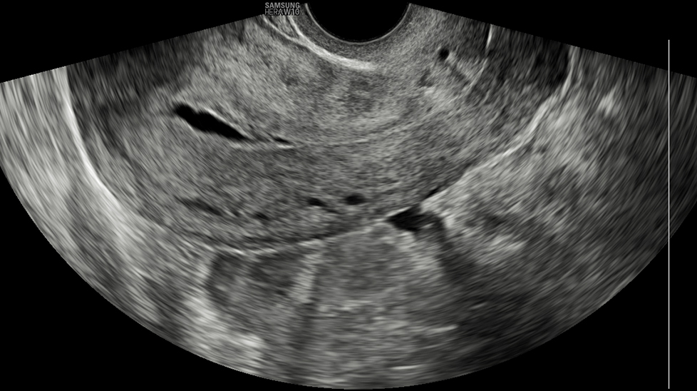
Help identify uterine malformation

gyn ultrasound tech : Uterine Contour

Uterine Contour automatically extracts the centerline and thickness of the curved endometrium and provides a coronal view in 3D, flattened by the centerline. In addition, uterine malformation classification are reported according to the
ESHRE/ESGE* or ASRM* guideline selection.

  • * ESHRE/ESGE : The European Society of Human Reproduction and Embryology / The European Society for Gynaecological Endoscopy
  • * ASRM : The American Society for Reproductive Medicine
more

AI BiometryAssist

A semi-automated measurement of fetal biometry

medical diagnostics of obgyn ultrasound : BiometryAssist™

A semi-automatic technology for biometric measurement, BiometryAssist, enables users to measure the growth of the fetus quickly while maintaining exam consistency.

more

Slice A ¹

Increases the contrast resolution through thick slide volume

medical diagnostics of ultrasound ob : Slice A

Slice A is a feature that improves the contrast resolution of A Plane images. By compositing multiple A Plane images, it helps in analyzing tissues or structures that are difficult to see with only 2D images.

more

5D CNS+ ¹ (Central Nervous System)

Fast brain measurement tool based on volume data

5d ultrasound : 5D CNS+™

5D CNS+ uses intelligent navigation to provide 6 measurements from 3 transverse views of the fetal brain to enhance measurement reproducibility and streamlined workflow.

more

5D Limb Vol. ¹

Fast fetal weight estimation tool for checking growth of the fetus

5d ultrasound : 5D Limb Vol.™

5D Limb Vol. is a semi-automated tool to quickly and accurately measure upper arm or thigh volumes from 3 simple seed points on a single volume data set.

more

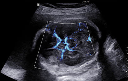
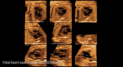
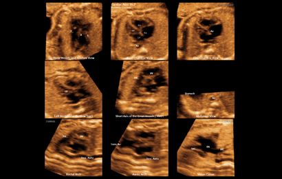
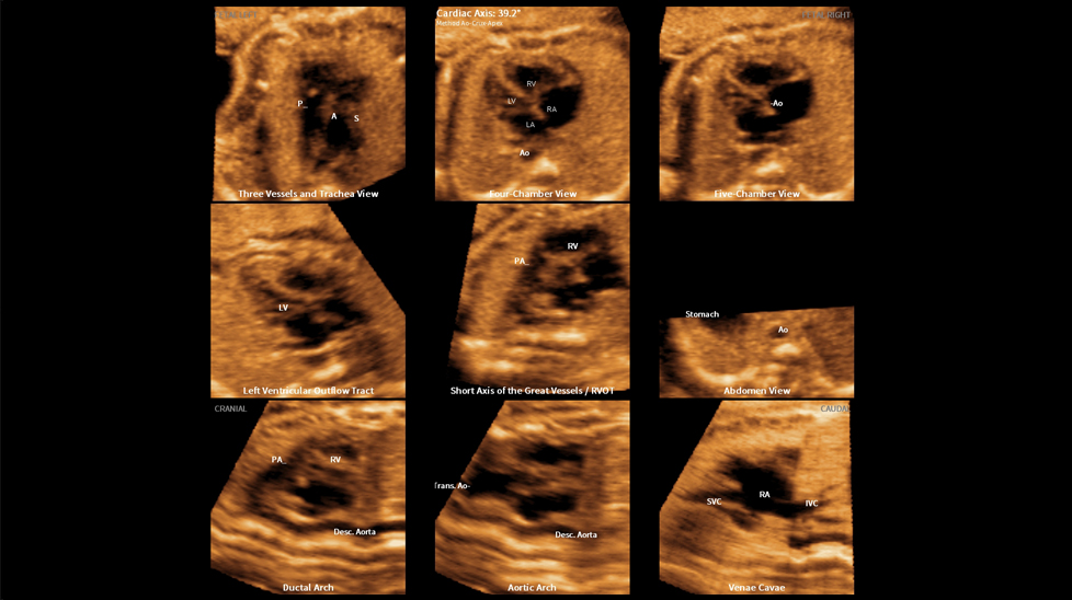
5D Heart

Fast fetal heart examination with 9 standard planes

cardiac solutions : 5D Heart™

The function provides 9 standard planes of the heart by using the fetal STIC data as well as important information about fetal heart development in an easy and accurate way in accordance with the AIUM guideline.

more

Clinical lmages

  • imaging solutions of ob ultrasound : MV-Flow™ with LumiFlow™

    MV-Flow with LumiFlow
    (Fetal brain)

  • powerful imaging of ultrasound ob : BPD with MV-Flow™

    BPD with MV-Flow

  • Uterus with S-Harmonic™

    Uterus with S-Harmonic

  • Color imaging of obgyn ultrasound : S-Flow™ with LumiFlow™

    S-Flow with LumiFlow
    (Four-chamber view of fetal heart)

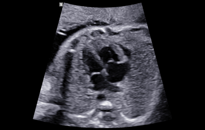
  • fetal images : Fetal Heart 4ch view

    Fetal heart 4ch view

  • ultrasound in obstetrics tech : 9 fetal heart standard views with 5D Heart Color™

    9 fetal heart standard views with 5D Heart Color

  • powerful imaging : Fetal face with RealisticVue™

    Fetal face with RealisticVue

  • 3d imaging of ultrasound imaging machines : Fetal Spine with CrystalVue™

    Fetal spine with CrystalVue

  • fetal images : Fetal face with HDVI™

    Fetal face with HDVI

MV-Flow with LumiFlow (Fetal brain)

imaging solutions of ob ultrasound : MV-Flow™ with LumiFlow™

BPD with MV-Flow

powerful imaging of ultrasound ob : BPD with MV-Flow™

Uterus with S-Harmonic

Uterus with S-Harmonic™

S-Flow with LumiFlow (Four-chamber view of fetal heart)

Color imaging of obgyn ultrasound : S-Flow™ with LumiFlow™

Fetal heart 4ch view

fetal images : Fetal Heart 4ch view

9 fetal heart standard views with 5D Heart Color

ultrasound in obstetrics tech : 9 fetal heart standard views with 5D Heart Color™

Fetal face with RealisticVue

powerful imaging : Fetal face with RealisticVue™

Fetal spine with CrystalVue

3d imaging of ultrasound imaging machines : Fetal Spine with CrystalVue™

Fetal face with HDVI

fetal images : Fetal face with HDVI™

FreeForm

State-of-the-art Ergodynamics for Your Comfort and Productivity

FreeForm refers to Samsung’s new design theme. It was developed to provide a more comfortable diagnostic experience by reducing the need for movement from one spot to another. Our goal is to satisfy user’s working environment by considering a user’s arm reach, as well as by offering a sufficient amount of space for the user’s knee.

wide-ranging ultrasound machines with control panel moving mechanism
ultrasound equipment with ultrasound transducer holder, Cable management, ultrasound equipment with supporting Light ultrasound equipment with ultrasound transducer holder, Cable management, ultrasound equipment with supporting Light ultrasound equipment with ultrasound transducer holder, Cable management, ultrasound equipment with supporting Light

Effective real-time collaboration,
customizable for the way you work

We believe that a truly great system offers customer-centric working conditions. The collaborative solution enables users to cooperate, monitor, and educate in real-time regardless of where the users are located. The streamlined workflow supports your daily procedures by reducing keystrokes and by combining multiple actions into one. Users have the option of customizing its diagnostic settings based on personalized protocol, resulting in a more simplified exam process and faster workflow.

SonoSync* ¹ Real-time image sharing solution

SonoSync is available in PC and smartphone, etc. as a real-time image share solution that allows communication for care guide and training between doctors and sonographers.
In addition, voice chatting, text chatting and real-time marking functions are provided for better communication; and the MultiVue function is included that allows monitoring multiple ultrasound images on a single screen.

* SonoSync is an image sharing solution, not a diagnostic solution.

telesonography : SonoSync™ telesonography : SonoSync™

HelloMom ¹ Simple transfer of fetal ultrasound images and clips

HelloMom is a simple and secure image sharing solution by generating QR code for the selected fetal images. Pregnant women and family are capable of downloading images of fetus by scanning on the QR code using smartphone, reducing the hassle of installing a separate application.

Share fetal images : HelloMom™
  • Select most common ultrasound transducer types : QuickPreset

    QuickPreset for easy transducer preset

    With one touch, the user can select the most common transducer and preset combinations. QuickPreset increases efficiency to make a full day of scanning simple and easy.

    See images in expanded view and enhance workflow efficiency : Expanded view See images in expanded view and enhance workflow efficiency : Expanded view
  • Rotate, zoom, crop, and move 3D images : TouchGesture

    Touch Gesture for your preferences

    Touch Gesture intuitively allows to rotate, zoom and move while viewing the 3D image from the touch screen. In addition, 3D manipulations such as Oblique, MagiCut, etc. are conveniently operated.

    See images in expanded view and enhance workflow efficiency : Expanded view See images in expanded view and enhance workflow efficiency : Expanded view
  • Assign functions near the trackball: Contextual Button

    Contextual Button for your convenient access

    Depending on the user’s choice of ultrasonic inspection items, the required diagnostic functions may be assigned to the control panel buttons to reduce the hassle of menu selection

    See images in expanded view and enhance workflow efficiency : Expanded view See images in expanded view and enhance workflow efficiency : Expanded view

Transducers

Volume Transducers

  • Volume ultrasound transducer : CV1-8A

    CV1-8A

    Abdomen, Obstetrics, Gynecology

  • Volume ultrasound transducer : EV3-10B

    EV3-10B

    Obstetrics, Gynecology, Urology

  • Volume ultrasound transducer : EV2-10A

    EV2-10A

    Obstetrics, Gynecology, Urology

Convex Array Transducers

  • Convex Array ultrasound transducer : CA1-7A

    CA1-7A

    Abdomen, obstetrics, gynecology, pediatric, vascular, musculoskeletal

  • Convex Array ultrasound transducer : CA3-10A

    CA3-10A

    Abdomen, obstetrics, gynecology, pediatric, vascular, musculoskeletal

  • Convex Array ultrasound transducer : CA2-9A

    CA2-9A

    Abdomen, obstetrics, gynecology

  • Convex Array ultrasound transducer : CF4-9

    CF4-9

    Pediatric, vascular

Linear Array Transducers

  • Linear Array ultrasound transducer : LA2-14A

    LA2-14A

    Small parts, vascular, musculoskeletal, abdomen, obstetrics

  • Linear Array ultrasound transducer : L3-12A

    L3-12A

    Small parts, vascular, musculoskeletal, abdomen

  • Linear Array ultrasound transducer : LA2-9A

    LA2-9A

    Small parts, vascular, musculoskeletal, abdomen

Endocavity Transducers

  • Endocavity ultrasound transducer : EA2-11AR*

    EA2-11AR*

    Obstetrics, gynecology, urology

  • Endocavity ultrasound transducer : EA2-11AV*

    EA2-11AV*

    Obstetrics, gynecology, urology

Phased Array Transducers

  • Phased Array ultrasound transducer : PA1-5A

    PA1-5A

    Cardiac, TCD, abdomen

  • Phased Array ultrasound transducer : PA4-12B

    PA4-12B

    Cardiac, pediatric

  • Phased Array ultrasound transducer : PM1-6A

    PM1-6A

    Cardlac,TCD,abdomen

  • Phased Array ultrasound transducer :PA3-8B

    PA3-8B

    Cardiac, pediatric, abdomen

* Ergonomics Transducer (EA2-11AR, EA2-11AV)

The new convex transducer design with a smooth and slim grip helps users to scan easily and comfortably. The new endocavity transducer supports natural grip by moving the max width point to a more forward position and also increased the length of the grip to allow balanced weight distribution.

Secure Your Care

  • Intrusion Prevention

    Tools for protecting against cyber threats from external attacks

    • - Security tools (Anti-virus & Firewall)
    • - Secured operating system
  • Access Control

    Strengthened surveillance for tracking the access of patient information

    • - Account management
    • - Enhanced audit trail
  • Data Protection

    Encryption functions for safeguarding data whether at-rest or in-transit

    • - Data encryption
    • - Transmission security
  • Image Quality
  • lmage Gallery
  • Ergonomics
  • Workflow
  • Transducers
  • This product, features, options and transducers are not commercially available in all countries.
  • Due to regulatory reasons their future availability cannot be guaranteed.
  • Please contact your local sales network for further details.
  • This product is a medical device, please read the user manual carefully before use.
  • S-Vue Transducer™ is the name of Samsung’s advanced transducer technology.
  • All clinical images on this page are acquired by the HERA W10 ultrasound system.
  • SonoSync is an image sharing solution
  • 1. Optional feature which may require additional purchase.

The described product information, including features and options, is CE marked. Regulatory approval/clearance status may vary by country. CE 0123