Sorry for the inconvenience.

Chinese users are only allowed to visit websites which complies with the PIPL (Personal Information Protection Law of the People's Republic of China) effective November 1st.

▲ Scan or click the QR code to visit 三星医疗




The personal information of existing Samsunghealthcare.com chinese users will be kept until October 29th and will be safely deleted thereafter.

Upgrade browser for full Samsung Healthcare experience

It looks like you may be using a web browser that we don’t support.
Make sure you’re using one of these recommended browsers,
or upgrade your browser by clicking the icons, to get the full Samsung Healthcare experience.

To check which browser you use

https://whatsmybrowser.org/
본문 바로가기

HS40

HS40
Auto IMT

Auto IMT+™ ermöglicht Ihnen die automatische Messung der Intima-Media-Dicke der Arteria Carotis Communis für die Analyse von Schlaganfall- und Herzinfarktrisiken. Die einfache Bedienung hilft Ihnen, Ihren Workflow sowie auch Ihren Patientendurchsatz zu erhöhen. Dieses einfache Verfahren verbessert die Produktivität Ihrer Untersuchungen unter Hinzufügung diagnostischer Zusatzinformationen.

Präzise Bildgebung

Durch elektronisches Beamsteering und die Nutzung vieler Scanlinien, erzeugt MultiVision qualitativ hochwertige Ultraschallbilder. MultiVision bietet Ihnen eine bemerkenswerte räumliche und kontrastreiche Auflösung, mit weniger Artefakten als je zuvor.

Ultraschallsystem HS40 Frontansicht mit Ultraschallbild ElastoScan von Samsung Ultraschallsystem HS40 von Samsung mit Ultraschallbild Strain +.

Außergewöhnliche Bildqualität

HQ-Vision

Die Funktion HQ-Vision dient der Reduktion von Unschärfe zur Verbesserung Ihrer Bildqualität.

S-Harmonic

Diese neue Harmonic-Imaging-Technologie bietet Ihnen homogene Ultraschallbilder vom Nah- bis zum Fernfeld bei gleichzeitiger Rauschunterdrückung. Kombiniert mit den S-Vue™-Sonden und der S-Vision™ Imaging Engine erzeugt die HS40 Bilder in hoher Qualität.

Ultraschallbild Niere links ohne S-Harmonic und rechts mit S-Harmonic. Ultraschallbild Niere links ohne S-Harmonic und rechts mit S-Harmonic. Ultraschallbild Niere links ohne S-Harmonic und rechts mit S-Harmonic. Ultraschallbild Niere links ohne S-Harmonic und rechts mit S-Harmonic.
ClearVision

Der Rauschunterdrückungsfilter verbessert die Kantendarstellung und schafft schärfere 2D-Bilder für eine optimierte Diagnoseleistung. Die Integration dieser spezialisierten Samsung-Technologie führt zu einer bemerkenswerten Verbesserung der Bildqualität. Darüber hinaus bietet ClearVision anwendungsspezifische Optimierungsmöglichkeiten und eine erweiterte zeitliche Auflösung im Live-Scan-Modus.

Ultraschallbild Schilddrüse links ohne ClearVision und rechts mit ClearVision von Samsung. Ultraschallbild Schilddrüse links ohne ClearVision und rechts mit ClearVision von Samsung. Ultraschallbild Schilddrüse links ohne ClearVision und rechts mit ClearVision von Samsung. Ultraschallbild Schilddrüse links ohne ClearVision und rechts mit ClearVision von Samsung.
MultiVision

Durch elektronisches Beamsteering und die Nutzung vieler Scanlinien erzeugt MultiVision qualitativ hochwertige Ultraschallbilder. MultiVision bietet Ihnen eine bemerkenswerte räumliche und kontrastreiche Auflösung, mit weniger Artefakten als je zuvor.

Ultraschallbild Brust links ohne MultiVision und rechts mit MultiVision von Samsung. Ultraschallbild Brust links ohne MultiVision und rechts mit MultiVision von Samsung. Ultraschallbild Brust links ohne MultiVision und rechts mit MultiVision von Samsung. Ultraschallbild Brust links ohne MultiVision und rechts mit MultiVision von Samsung.

Prozessorientierter Workflow

Quick Preset

Mit nur einem Klick können Sie als Nutzer Ihre häufig verwendete Schallkopf-Preset-Kombination anwählen. Quick Preset maximiert so Ihre Effizienz und beschleunigt Ihre Arbeitsabläufe.

Finger zeigt auf Touchscreen von Ultraschallsystem HS40 und Convex-Sonde ist rechts vergrößert dargestellt. Finger zeigt auf Touchscreen von Ultraschallsystem HS40 und Convex-Sonde ist rechts vergrößert dargestellt. Finger zeigt auf Touchscreen von Ultraschallsystem HS40 und Convex-Sonde ist rechts vergrößert dargestellt. Finger zeigt auf Touchscreen von Ultraschallsystem HS40 und Convex-Sonde ist rechts vergrößert dargestellt.
EZ-Exam+

EZ-Exam+ ermöglicht Ihnen die Nutzung vordefinierter oder bereits erstellter Untersuchungs-Protokolle. Ihre Ultraschalluntersuchung wird so zu einem durchgängigen Prozess zusammengefasst, welcher stringent durchgeführt wird.

EZ-Exam Ausschnitt von Ultraschallsystem HS40. EZ-Exam Ausschnitt von Ultraschallsystem HS40. EZ-Exam Ausschnitt von Ultraschallsystem HS40. EZ-Exam Ausschnitt von Ultraschallsystem HS40.
BatteryAssist

Für eine hohe Flexibilität versorgt BatteryAssist die HS40, unabhängig von der jeweiligen Stromversorgung, mit Batteriestrom. Zusätzlich sorgt der Sleep-Modus für kurze Boot-Zeiten des Systems.

Tools für optimierte Diagnostik

Auto IMT+™

Auto IMT+™ ermöglicht Ihnen die automatische Messung der Intima-Media-Dicke der Arteria Carotis Communis für die Analyse von Schlaganfall- und Herzinfarktrisiken. Die einfache Bedienung hilft Ihnen, Ihren Workflow sowie auch Ihren Patientendurchsatz zu erhöhen. Dieses einfache Verfahren verbessert die Produktivität Ihrer Untersuchungen unter Hinzufügung diagnostischer Zusatzinformationen.

NeedleMate+

NeedleMate+™ ermöglicht die präzise Platzierung der Nadel bei der Durchführung von interventionellen Verfahren.

Panoramic

Dank Panoramic können Sie in einer erweiterten Bildansicht einen größeren Untersuchungsbereich darstellen.

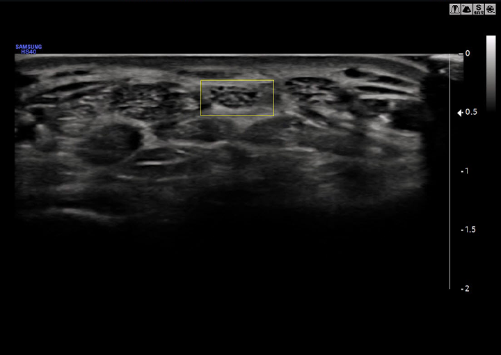
NerveTrack

Detect the location of nerve area in real-time

Mit NerveTrack können während einer Ultraschalluntersuchung in Echtzeit Nervenbereiche erkannt werden. Die Position des Nervenbereiches wird dabei mit einer Box hervorgehoben, um für eine direkte Erkennbarkeit zu sorgen.

  • ※ Dieses Video oben dient nur zur Erläuterung der NerveTrack-Funktion.

Nutzerfreundliches Design

  • 21,5″-LCD-Monitor

    Die HS40 verfügt über einen 21,5″-LCD-Monitor (LED-Backlight). Dadurch erhalten Sie eine exzellente Kontrastauflösung, Bildklarheit und lebendige Farben – bei unterschiedlichen Lichtverhältnissen.

  • 10,1"-Touchscreen

    Der 10,1“-Touchscreen erlaubt Ihnen, dank seiner hohen Sensitivität, eine einfache und intuitive Bedienung.

  • Solid State Drive (SSD)

    Die HS40 nutzt die fortschrittliche Solid-State-Drive-Technologie von Samsung.

  • Heckablage

    Im hinteren Bereich bietet Ihnen die HS40 bei Bedarf zusätzliche Ablagemöglichkeiten.

  • Gelwärmer

    Ein zweistufig einstellbarer Gelwärmer hält das Ultraschallgel auf einer angenehmen Temperatur.

  • Geräuscharmer Betrieb

    Die HS40 besticht durch ihren leisen Betrieb, so dass Sie Ihre Untersuchungen – einschließlich Auskultation – während des laufenden Betriebes, ohne Störung durchführen können.

  • Individuelle Höheneinstellung

    Die leichtgängige Höhenverstellbarkeit ermöglicht es Ihnen, das System ohne Anstrengung auf Ihre gewünschte Höhe einzustellen.

  • Halterung für Endokavitär-Sonde

    Die HS40 verfügt über eine seitlich montierte Halterung, in der Sie bequem Ihre Endokavitär-Sonde ablegen können.

  • Vollbeweglicher Monitor-Gelenkarm

    Dank des Gelenkarmes lässt sich die Monitorposition unkompliziert an Ihre wechselnden Bedürfnisse anpassen.

  • Seitentasche

    Die seitlich montierte Tasche ermöglicht Ihnen die Aufbewahrung Ihres Tablet-PCs sowie weiterer Unterlagen.

  • *Irrtümer und Änderungen vorbehalten.
  • *Die Warenverfügbarkeit ist abhängig vom jeweiligen Bestellaufkommen.
  • *L4-7, LS6-15, SP3-8, DP8B sind nicht verfügbar in V1.00 and V1.01.

KONTAKTIEREN SIE UNS Haben Sie noch weitere Fragen? Wir unterstützen Sie gerne dabei, die richtige Lösung für Sie zu finden. Telefon: +49 (0)6196 93 40 246* E-Mail: HME@samsung.de

* Kosten laut Konditionen des Vertragspartners für Festnetz- oder Mobilfunkanschlüsse.