Dose Less, Care More

Die Strahlendosisreduktion ist eine der Herausforderungen in der Radiographie. Hierbei ist über die Jahre der Fokus von der konventionellen Radiographie weg hin zu anderen Modalitäten gewandert. Geschuldet war dies unter anderem dem großen Einsparpotential bei anderen Modalitäten in der Radiographie. Aber auch in der konventionellen Bildgebung sieht Samsung weiteres Optimierungspotential. Die häufigste Röntgenuntersuchung ist die Röntgenaufnahme des Thoraxes. Samsung nimmt die Herausforderung an und möchte mit der neuen S-Vue 3.02 Bildverarbeitung auch hier die Dosisreduktion weiter vorantreiben.

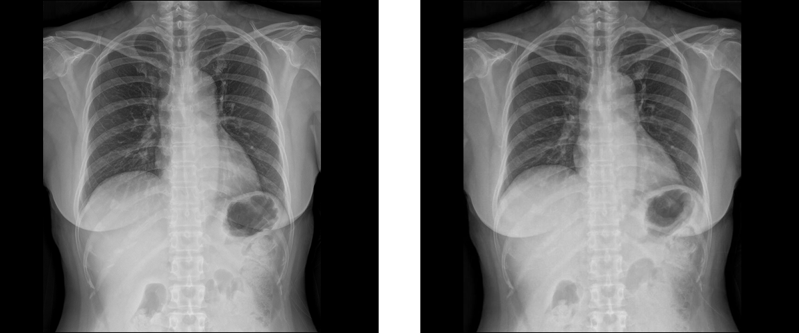
Können Sie einen Unterschied erkennen?

Samsung arbeitet kontinuierlich daran, die Dosis der Röntgenaufnahmen zu senken. So unterstützen wir die Anwender bei der Umsetzung des ALARA-Prinzips zum Wohle des Patienten. Samsungs S-Vue 3.02 Bildverarbeitung ermöglicht eine hohe Bildqualität bei halber Dosis.* * System: GC85A Thoraxaufnahmen

Thorax PA  (120 kVp / 1.68 mAs / 16.7 μSv / BMI 25.6) Thorax PA (120 kVp / 0.82 mAs / 8.05 μSv / BMI 25.6)

Thorax PA Vergleichsaufnahmen (Links: 120 kVp / 1.68 mAs / 16.7 μSv / BMI 25.6, Rechts: 120 kVp / 0.82 mAs / 8.05 μSv / BMI 25.6)

Funktionsweise

Bildverarbeitungsprozess

S-Vue 3.02 mit erweiterter Rauschunterdrückungsverarbeitung.

Darstellung der Bildverarbeitung unter Verwendung eines Linienpaar-Testphantoms 'Darstellung der Bildverarbeitung unter Verwendung eines Linienpaar-Testphantoms

Erweiterte Rauschunterdrückungsverarbeitung

Eine präzisere Rauscherkennung und Filterung ermöglicht eine bessere Darstellung der bildrelevanten Strukturen.

Darstellung der Bildverarbeitung unter Verwendung eines Linienpaar-Testphantoms Die Bildqualität (BRH score) bleibt fast unverändert (200 zu 199) bei halber Dosis und Verwendung der neuen Samsung S-Vue™ 3.02 Bildverarbeitung. Darstellung der Bildverarbeitung unter Verwendung eines Linienpaar-Testphantoms Die Bildqualität (BRH score) bleibt fast unverändert (200 zu 199) bei halber Dosis und Verwendung der neuen Samsung S-Vue™ 3.02 Bildverarbeitung.

Ergebnis der Testphantom-Studie

Die neue S-Vue 3.02 Bildverarbeitungssoftware ermöglicht die Reduzierung der Dosis um bis zu 50% bei Röntgenaufnahmen des Thorax ohne Verluste der Bildqualität. "Der neue Algorithmus zur Reduzierung des räumlichen Rauschens verbessert die Bildqualität von Thoraxphantomaufnahmen. Dadurch ist es möglich, Thoraxaufnahmen mit geringer Dosis zu erstellen - ohne Einbußen der diagnostischen Qualität der Röntgenaufnahmen."*

Die Bildqualität (BRH score) fällt von 199 auf 176 bei halber Dosis und konventioneller Bildverarbeitung Die Bildqualität (BRH score) fällt von 199 auf 176 bei halber Dosis und konventioneller Bildverarbeitung

* "Radiation dose reduction in digital chest radiography with spatial noise reduction algorithm: semi-anatomical and anthropomorphic chest phantom studies” Source: IWPFI 2017, E-poster presentation, Seungho Lee, Semin Chong / Chung-Ang University (CAU) Hospital

** BRH score= Bureau of Radiological Health score

Klinische Forschungsergebnisse

Das GC85A mit der neuen S-Vue 3.02 Bildverarbeitungssoftware ermöglicht Röntgenaufnahmen mit einer Dosisreduktion von bis zu 50% bei gleichbleibender Bildqualität.

Links: Thorax PA Rechts: Thorax PA erstellt mit halber Dosis Links: Thorax PA Rechts: Thorax PA erstellt mit halber Dosis

Thorax PA Vergleichsaufnahmen (Links; 120 kVp, 0.76 Gy-cm2, BMI 23.7, 14.17 uSv/ Rechts: 120 kVp, 0.37 Gy-cm2, BMI 23.7, 6.73 uSv)

  1. 1)Die verwendeten Röntgenaufnahmen wurden mit einer GC85A erstellt.
  2. 2)Die hier aufgeführten Erläuterungen beruhen auf Röntgenaufnahmen die mit einer GC85A erstellt wurden, basierend auf Phantom- und klinischen Studienergebnissen.
  3. 3)Es wurden nur Thorax PA Aufnahmen für durchschnittliche Erwachsene untersucht, ausgenommen sind hier pädiatrische Patienten.