Sorry for the inconvenience.

Chinese users are only allowed to visit websites which complies with the PIPL (Personal Information Protection Law of the People's Republic of China) effective November 1st.

▲ Scan or click the QR code to visit 三星医疗




The personal information of existing Samsunghealthcare.com chinese users will be kept until October 29th and will be safely deleted thereafter.

Upgrade browser for full Samsung Healthcare experience

It looks like you may be using a web browser that we don’t support.
Make sure you’re using one of these recommended browsers,
or upgrade your browser by clicking the icons, to get the full Samsung Healthcare experience.

To check which browser you use

https://whatsmybrowser.org/
본문 바로가기

Das neue Momentum in der Bildgebung

HERA W10

Das neue Premiumsystem HERA W10 von Samsung liefert Ihnen außergewöhnliche Bildqualität, präzise Analysefunktionen und überzeugt durch intuitive Bedienung. Die HERA W10 ermöglicht dadurch weitergehende Informationen und Möglichkeiten für Ihre Diagnostik. Samsung hat den Anspruch, mit innovativen Lösungen in der Ultraschalldiagnostik, die gynäkologischen und geburtshilflichen Anwendungen im Rahmen einer lebenslangen Versorgung von Frauen zu unterstützen.

Highlights

Klinische Bilder

  • MV-Flow mit LumiFlow
    (Fetales Gehirn)

  • MV-Flow mit LumiFlow
    (Nabelschnur)

  • BPD mit MV-Flow

  • Nabelschnur mit S-Flow

  • Fetales Profil mit CrystalVue

  • Fetaler Fuß mit RealisticVue

  • Fetales Gesicht in 3D

  • Fetale Hand mit AmbientLight

  • Fötus mit S-Harmonic
    (12. SSW)

MV-Flow mit LumiFlow (Fetales Gehirn)

MV-Flow mit LumiFlow (Nabelschnur)

BPD mit MV-Flow

Nabelschnur mit S-Flow

Fetales Profil mit CrystalVue

Fetaler Fuß mit RealisticVue

Fetales Gesicht in 3D

Fetale Hand mit AmbientLight

Fötus mit S-Harmonic (12. SSW)

Crystal Architecture

Crystal Architecture ist eine Bildgebungs-Architektur, die CrystalBeam, CrystalLive und S-Vue-Transducer-Technologie von Samsung miteinander kombiniert und somit kristallklare Bilder in hervorragender Qualität liefert.

  • - CrystalBeam ist eine neue Beamformingtechnologie, die für eine qualitativ hochwertige Bildauflösung und eine verbesserte Homogenität der Bilder sorgt.
  • - CrystalLive ist die neueste Ultraschall-Bildgebungs-Engine von Samsung. Dank verbesserter 2D-Bildverarbeitung, 3D-Rendering und Farbsignalverarbeitung, bietet sie eine hervorragende Bildleistung sowie einen effizienten Arbeitsablauf, auch in komplexen Fällen.
  • GPU Memory*

    für schnelles Rendering

  • Prozessorleistung*

    für qualitativ hochwertige Bilder

  • Datenübertragungsrate*

    für schnelle Bildraten

* Im Vergleich zum Samsung Ultraschallsystem WS80A.

CrystalBeam

Neues Beamforming für detaillierte Bilder

CrystalBeam verwendet Arbitrary Waveform Transmission, Massive Parallel Beamforming und Synthetic Aperture-Technologien, um eine schnellere Bildrate und eine verbesserte Bildhomogenität zu erzielen.

  • Konventionell

    Arbitrary Waveform
    Transmission

  • Räumliche Auflösung

    Massive Parallel
    Beamforming

  • CrystalBeam

    Kontrastauflösung

  • Synthetic
    Aperture

    Bildrate

* Im Vergleich zum Samsung Ultraschallsystem WS80A.

CrystalLive in 2D

Anspruchsvolle 2D-Bildgebung durch CrystalLive

CrystalLive unterstützt Sie in Ihrer Diagnostik durch innovative Bildverbesserungstechnologien für außergewöhnliche 2D-Bildqualität.

ShadowHDR

Fetales Gehirn

ShadowHDR wendet selektiv hohe und niedrige Frequenzen des Ultraschalls an, um Schattenbereiche wie im fetalen Gehirn oder der Wirbelsäule zu identifizieren und ermöglicht dadurch ein optimiertes Bild.

MEHR ERFAHREN

HQ-Vision

Der Bildverbesserungsalgorithmus HQ-Vision liefert klare Bilder zur Unterstützung Ihrer zuverlässigen Diagnose.

MEHR ERFAHREN

ClearVision

Fetales Herz

Der ClearVision-Rauschunterdrückungsfilter optimiert die Kantendarstellung und erzielt scharfe 2D-Bilder mit klaren Gewebegrenzen.

MEHR ERFAHREN

CrystalLive in 3D/4D

Realistische Visualisierung in 3D/4D

CrystalLive bietet Ihnen hochauflösende Bilder in 3D/4D. Es übertrifft dabei herkömmliche 3D-Bildgebungstechnologien hinsichtlich der Visualisierung kleiner Strukturen und Lichteffekten.

CrystalVue

Fetale Wirbelsäule mit CrystalVue

CrystalVue ist eine fortschrittliche Volume-Rendering-Technologie, die die Darstellung sowohl interner als auch externer Strukturen in einem einzelnen gerenderten Bild ermöglicht. Dieses besticht durch seine Kombination aus Intensität und Farbverlauf.

MEHR ERFAHREN

RealisticVue

Fetales Gesicht mit RealisticVue

RealisticVue zeigt Anatomien in hochauflösendem 3D mit beeindruckenden Details und in realistischer Tiefenwahrnehmung. Die vom Benutzer frei wählbare Richtung der Lichtquelle schafft aufwendig abgestufte Schatten für definierte anatomische Strukturen.

MEHR ERFAHREN

HDVI 2.0

Fetale Wirbelsäule in 3D

HDVI ist eine Volume-Rendering-Technologie, die die Visualisierung von Kanten und kleinen Strukturen in der Volumenbildgebung verbessert. Eine stärkere Kontrastierung und Bildsättigung ermöglichen eine detaillierte Darstellung des Feten.

MEHR ERFAHREN

CrystalLive Color

Detaillierte dynamische Blutflussdarstellung

CrystalLive™ Color verbessert die Visualisierung der Hämodynamik des Blutflusses im Vergleich zu der konventionellen Farb- und Powerdoppler-Technologie. Eine höhere Empfindlichkeit, durch neues Color Signal Prozessing, ermöglicht eine genauere Erkennung von peripheren Blutgefäßen, mikrozirkulatorischen Blutströmungen und Volumen langsamer Blutflüsse.

LumiFlow

MV-Flow mit LumiFlow (fetales Gehirn)

LumiFlow stellt Blutflüsse dreidimensional dar, für eine intuitive Darstellung der Struktur von Blutflüssen und kleinen Gefäßen.

MEHR ERFAHREN

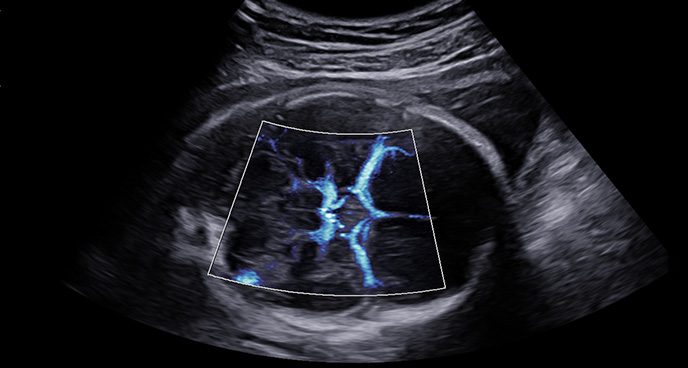
MV-Flow

Fetales Gehirn mit MV-Flow

MV-Flow bietet Ihnen eine Alternative zum Powerdoppler zur Visualisierung von langsamen Flüssen. Hohe Bildraten und fortschrittliche Filtertechnologien ermöglichen eine detaillierte Ansicht des Blutflusses in Relation zum umgebenden Gewebe oder der Pathologie, in einer verbesserten räumlichen und zeitlichen Auflösung.

MEHR ERFAHREN

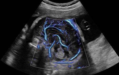
S-Flow

Fetale Zirkulation mit S-Flow

S-Flow ist eine gerichtete Powerdoppler-Bildgebungstechnologie mit hoher Sensitivität, durch die sogar kleinste periphere Blutgefäße dargestellt werden können. Sie ermöglicht somit eine präzise Diagnose, auch bei äußerst schwierigen Blutflussuntersuchungen.

MEHR ERFAHREN

Crystal Clear Cycle

Samsung's Commitment für eine lebenslange Gesundheitsversorgung von Frauen

Crystal Clear Cycle bietet Ihnen integrierte Lösungen für die Frauenheilkunde. Dank spezieller Features können so effektive Diagnosen für die bedeutendsten Ereignisse im Leben einer Frau erstellt werden. Das Premiumsystem HERA W10 deckt die sechs kategorisierten Phasen des Crystal Clear Cycles™ mit seinen diagnostischen Lösungen vollständig ab.

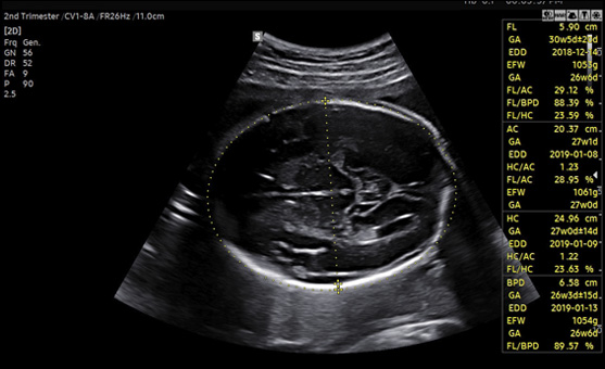
BiometryAssist

Fetale Biometrie mit BiometryAssist

Mit dieser halbautomatischen Technologie für biometrische Messungen verringern Sie den Zeitaufwand bei fetalen biometrischen Routinemessungen. BiometryAssist™ ermöglicht Ihnen das Wachstum des Feten schneller und mit größerer Genauigkeit zu messen.

MEHR ERFAHREN

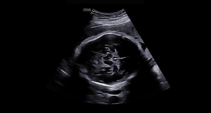
5D CNS+

Fetales Gehirns mit 5D CNS+

5D CNS+ bietet Ihnen sechs Messungen aus drei unterschiedlichen Durchschnitten des fetalen Gehirns, die ansonsten durch drei 2D-Bilder geschallt und dargestellt würden. Dies fördert die Reproduzierbarkeit Ihrer Messungen und optimiert Ihren Workflow. 5D CNS+™ umfasst, gemäß ISUOG-Leitlinien, axiale, sagittale und koronare Ansichten in neun Ebenen zur Beurteilung des fetalen Gehirns.

MEHR ERFAHREN

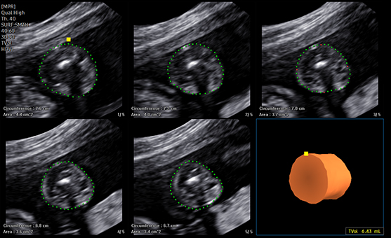
5D Limb Vol.

Einschätzung des fetalen Gewichtes mit 5D Limb Vol.

Durch das Setzen von lediglich drei Markern in nur einem Volumendatensatz ermöglicht das semi-automatische Tool 5D Limb Vol.™ eine einfache, schnelle und akkurate Messung der fetalen Extremitäten.

MEHR ERFAHREN

FreeForm

Ergodynamik für Ihren Komfort

Mit FreeForm widmet sich Samsung einem Designthema, das Ihnen komfortable Arbeitsbedingungen bietet,indem unnötige Bewegungungen bei der Diagnosestellung verringert werden. Das Ziel von Samsung ist es, die Arbeitsumgebung des Benutzers durch weitreichende Einstellmöglichkeiten des Bedienfeldes, unter Berücksichtigung der Armreichweite, zu verbessern und ebenfalls eine angenehme Beinfreiheit zu bieten.

Control-Panel-Bewegungsmechanismus

Im Rahmen einer internen Studie konnte gezeigt werden, dass der Control-Panel-Bewegungsmechanismus von Samsung die Schulterbelastung, im Vergleich zum Vorgängermodell, um etwa ein Drittel reduziert. Dies wird erreicht, indem dem Nutzer, mehr Platz im Bereich des Bedienfeldes zur Verfügung steht. Dies sorgt für weniger Belastungen während des Schallens. Benutzer können das Bedienfeld der HERA W10 gleichzeitig zu sich ziehen und den Nutzerwinkel anpassen.

* Studie zur Benutzerfreundlichkeit des Bedienfelds im Vergleich zum Samsung WS80A. Getestet mit den gleichen Körperhaltungen.

Optimierter Workflow

Individuelle Anpassungen für Ihren Workflow

Wir sind davon überzeugt, dass ein Premiumsystem kundenorientierte Arbeitsbedingungen bieten sollte.Mit der HERA W10 haben Sie die Möglichkeit das System individuell auf Ihre Arbeitsweise anzupassen. Dies ermöglicht einen straffen Untersuchungsprozess und schnelle Arbeitsabläufe.

  • QuickPreset für einfache Sondenanwahl

  • Modifizierbarer Touchscreen

  • Kontext-Buttonfür bequemen Zugriff

Schnelles Hochfahren mit MobileSleep

Booten aus dem Ruhemodus spart im Vergleich zum normalen Booten etwa 63 % Ihrer Zeit.MobileSleep wechselt schnell in den Ruhemodus und verbessert so die Manövrierfähigkeit des Systems.

Sonden

Volumen-Sonden

  • CV1-8A

    Abdomen, Gynäkologie, Geburtshilfe

  • EV3-10B

    Gynäkologie, Geburtshilfe, Urologie

Convex-Sonden

  • CA3-10A

    Abdomen, Gynäkologie, Geburtshilfe

  • CA2-9A

    Abdomen, Gynäkologie, Geburtshilfe

  • CA1-7A

    Abdomen, Gynäkologie, Geburtshilfe

  • CF4-9

    Pädiatrie, Vaskulär

Linear-Sonden

  • L3-12A

    Small Parts, Vaskulär, MSK

  • LA2-9A

    Small Parts, Vaskulär, MSK

Endokavitär-Sonden

  • EA2-11B

    Gynäkologie, Geburtshilfe, Urologie

  • VR5-9

    Gynäkologie, Geburtshilfe, Urologie

  • E3-12A

    Gynäkologie, Geburtshilfe, Urologie

Phased-Array-Sonden

  • PA4-12B

    Kardiologie, Pädiatrie

  • PM1-6A

    Abdomen, Kardiologie, TCD

  • PA3-8B

    Kardiologie, Pädiatrie, Abdomen

Information of Detergent, Disinfectant, and Ultrasound Gel - PDF Download

Datenschutz

  • Cyberschutz

    Tools zum Schutz vor Cyberbedrohungen durch Angriffe von Außen.

    • - Sicherheitstools (Antivirus und Firewall)
    • - Gesichertes Betriebssystem
  • Zugangskontrolle

    Dank passwortgeschützer Benutzerkonten sind Patienteninformationen vor Zugriffen unbefugter Dritter geschützt.

    • - Account-Management
    • - Verbesserter Audit-Trail
  • Datensicherheit

    Verschlüsselungsfunktionen zum Schutz von Daten sowohl im Ruhemodus als auch während des Transports.

    • - Datenverschlüsselung
    • - Übertragungssicherheit
  • Highlights
  • Bildergalerie
  • Bildqualität
  • Ergonomie
  • Workflow
  • Sondenportfolio
  • Teilweise sind die hier aufgeführten Funktionen des Ultraschallsystems aufpreispflichtige Optionen. Für detaillierte Informationen zur Konfiguration des Ultraschallsystems steht Ihnen Ihr regionaler Samsung Vertriebsmitarbeiter gern zur Verfügung.
  • Änderungen und Irrtümer vorbehalten.
  • Die Warenverfügbarkeit ist abhängig vom jeweiligen Bestellaufkommen.
  • S-Vue™ ist der Name von Samsung's Sondentechnologie.