Qualitativ hochwertige Bilder mit S-Vue™

S-Vue™ bietet Ihnen eine zuverlässige und hohe Bildqualität, unabhängig von unterschiedlichen anatomischen Strukturen und Aufnahmebedigungen. Ein präziser Auto Shutter verbessert die Bildkonsistenz. *

Thorax

Röntgenbilder von der Brust (Patient mit Herzschrittmacher, pädiatrischer Patient, erwachsener Patient, adipöser Patient) aufgenommen mit digitalem Röntgensystem von Samsung Röntgenbilder von der Brust (Patient mit Herzschrittmacher, pädiatrischer Patient, erwachsener Patient, adipöser Patient) aufgenommen mit digitalem Röntgensystem von Samsung Röntgenbilder von der Brust (Patient mit Herzschrittmacher, pädiatrischer Patient, erwachsener Patient, adipöser Patient) aufgenommen mit digitalem Röntgensystem von Samsung Röntgenbilder von der Brust (Patient mit Herzschrittmacher, pädiatrischer Patient, erwachsener Patient, adipöser Patient) aufgenommen mit digitalem Röntgensystem von Samsung

Abdomen

Röntgenbilder von Abdomen (Kind, großer Patient, Patient mit Katheter) aufgenommen mit digitalem Röntgengerät von Samsung Röntgenbilder von Abdomen (Kind, großer Patient, Patient mit Katheter) aufgenommen mit digitalem Röntgengerät von Samsung Röntgenbilder von Abdomen (Kind, großer Patient, Patient mit Katheter) aufgenommen mit digitalem Röntgengerät von Samsung Röntgenbilder von Abdomen (Kind, großer Patient, Patient mit Katheter) aufgenommen mit digitalem Röntgengerät von Samsung

Lendenwirbelsäule AP

Röntgenbilder von Lendenwirbelsäule AP (älterer Patient, erwachsener Patient, übergewichtiger Patient, dünner Patient) aufgenommen mit digitalem Röntgengerät von Samsung Röntgenbilder von Lendenwirbelsäule AP (älterer Patient, erwachsener Patient, übergewichtiger Patient, dünner Patient) aufgenommen mit digitalem Röntgengerät von Samsung Röntgenbilder von Lendenwirbelsäule AP (älterer Patient, erwachsener Patient, übergewichtiger Patient, dünner Patient) aufgenommen mit digitalem Röntgengerät von Samsung Röntgenbilder von Lendenwirbelsäule AP (älterer Patient, erwachsener Patient, übergewichtiger Patient, dünner Patient) aufgenommen mit digitalem Röntgengerät von Samsung

Auto Shutter

Automatischer Shutter (Ansicht Schädel Town, Ansicht Becken Iliaca, Ansicht Schulter) Automatischer Shutter (Ansicht Schädel Town, Ansicht Becken Iliaca, Ansicht Schulter) Automatischer Shutter (Ansicht Schädel Town, Ansicht Becken Iliaca, Ansicht Schulter) Automatischer Shutter (Ansicht Schädel Town, Ansicht Becken Iliaca, Ansicht Schulter)

Optimierte Bildschärfe und Klarheit

Verbesserte Darstellung von aufeinander projezierten Strukturen ermöglicht die detaillierte Darstellung von Lungengefäßen und anderem überlagerten Gewebe.

Thorax

Röntgenbilder (Thorax, Thorax PA vergrößerte Ansicht) aufgenommen mit digitalem Röntgengerät von Samsung Röntgenbilder (Thorax, Thorax PA vergrößerte Ansicht) aufgenommen mit digitalem Röntgengerät von Samsung Röntgenbilder (Thorax, Thorax PA vergrößerte Ansicht) aufgenommen mit digitalem Röntgengerät von Samsung Röntgenbilder (Thorax, Thorax PA vergrößerte Ansicht) aufgenommen mit digitalem Röntgengerät von Samsung

Lendenwirbelsäule

Röntgenbilder (Lendenwirbelsäule, Lendenwirbelsäule seitlich vergrößerte Ansicht) aufgenommen mit digitalem Röntgengerät von Samsung Röntgenbilder (Lendenwirbelsäule, Lendenwirbelsäule seitlich vergrößerte Ansicht) aufgenommen mit digitalem Röntgengerät von Samsung Röntgenbilder (Lendenwirbelsäule, Lendenwirbelsäule seitlich vergrößerte Ansicht) aufgenommen mit digitalem Röntgengerät von Samsung Röntgenbilder (Lendenwirbelsäule, Lendenwirbelsäule seitlich vergrößerte Ansicht) aufgenommen mit digitalem Röntgengerät von Samsung

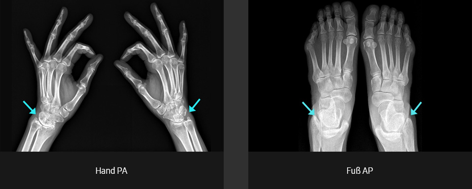
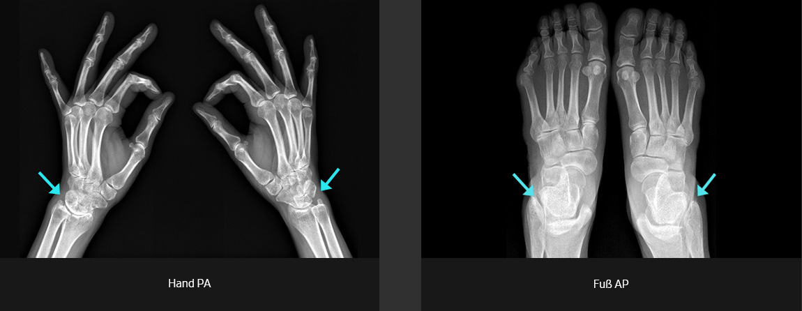
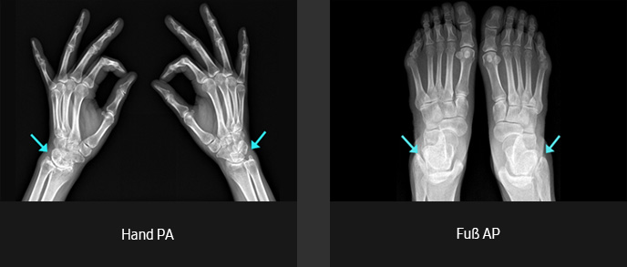
Überlagerte Fläche

Röntgenbilder (überlagerte Fläche, Hand PA, Fuß AP) aufgenommen mit digitalem Röntgengerät von Samsung. Röntgenbilder (überlagerte Fläche, Hand PA, Fuß AP) aufgenommen mit digitalem Röntgengerät von Samsung. Röntgenbilder (überlagerte Fläche, Hand PA, Fuß AP) aufgenommen mit digitalem Röntgengerät von Samsung. Röntgenbilder (überlagerte Fläche, Hand PA, Fuß AP) aufgenommen mit digitalem Röntgengerät von Samsung.

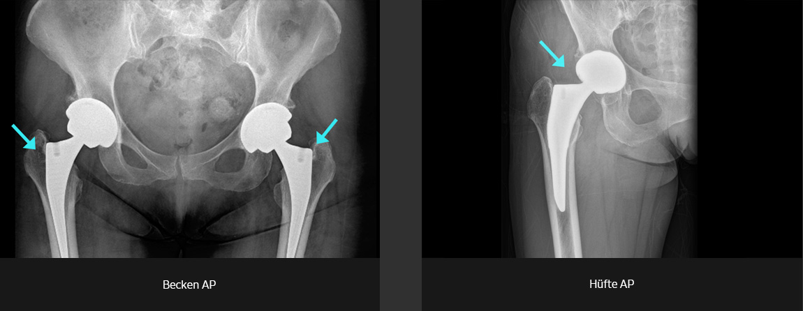
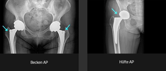
Becken

Röntgenbilder (Becken, Becken AP, Hüfte AP) aufgenommen mit digitalem Röntgengerät von Samsung. Röntgenbilder (Becken, Becken AP, Hüfte AP) aufgenommen mit digitalem Röntgengerät von Samsung. Röntgenbilder (Becken, Becken AP, Hüfte AP) aufgenommen mit digitalem Röntgengerät von Samsung. Röntgenbilder (Becken, Becken AP, Hüfte AP) aufgenommen mit digitalem Röntgengerät von Samsung.

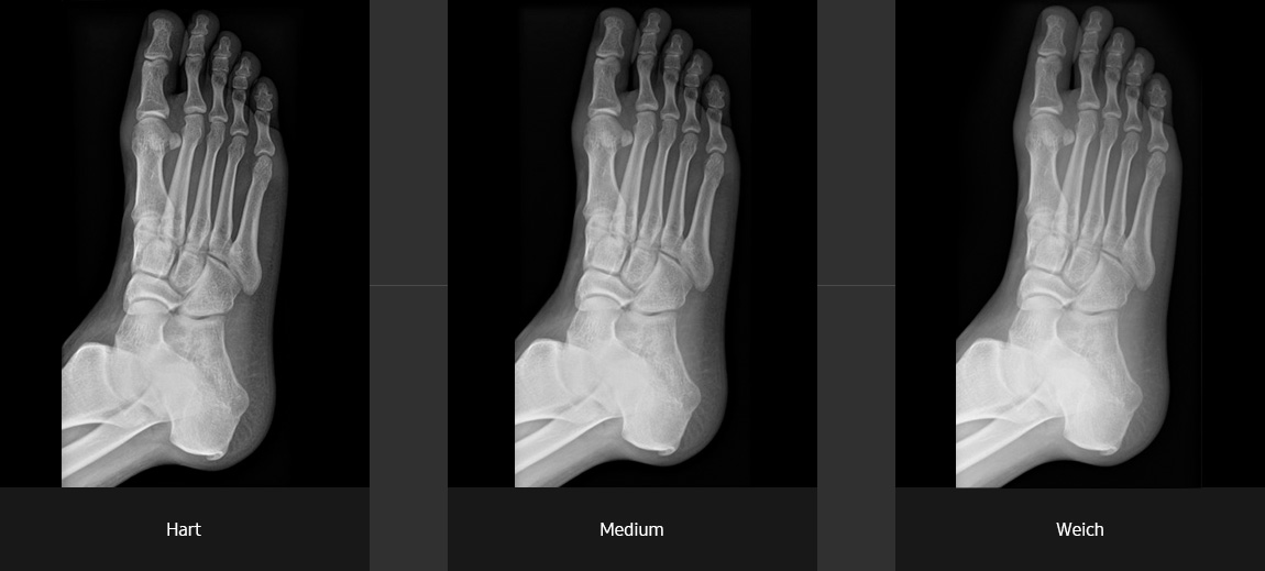
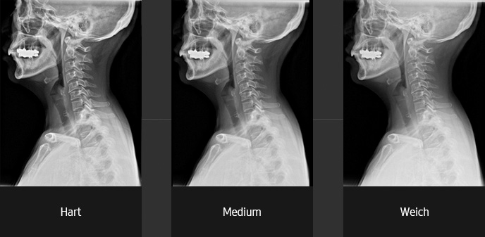
Einstellbare Kontrasteinstellungen

Der Kontrast kann je nach Benutzerpräferenzen eingestellt werden, um die Bildoptimierung zu vereinfachen.

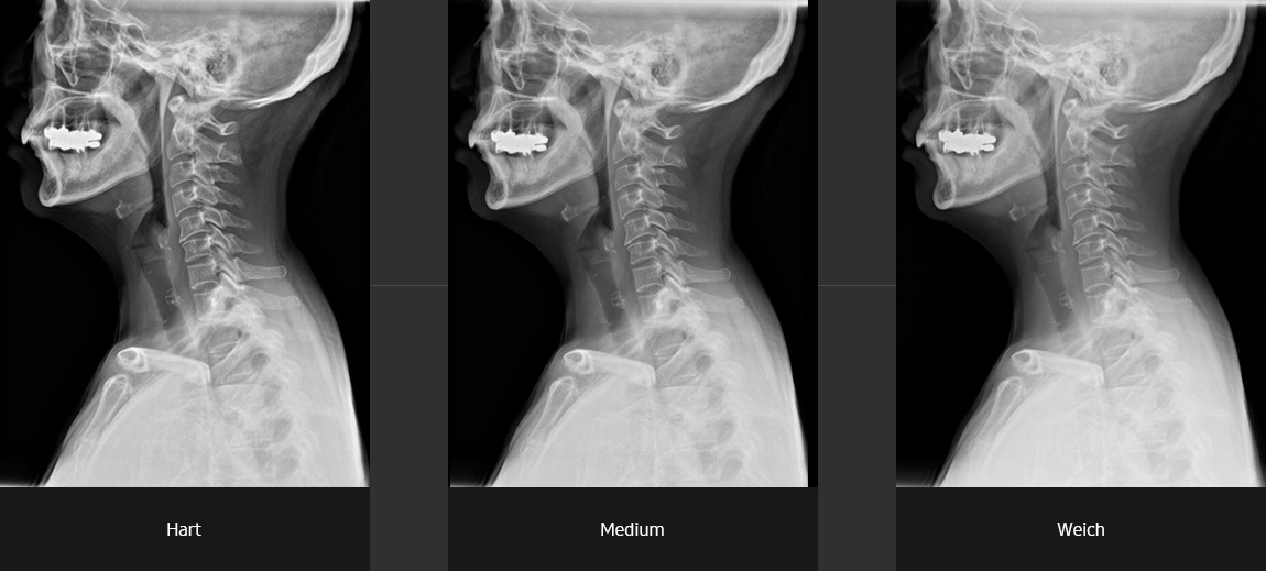
Halswirbelsäule seitlich

Röntgenbilder (Halswirbelsäule seitlich mit hartem, Medium und weichen Kontrast) aufgenommen mit digitalem Röntgensystem von Samsung. Röntgenbilder (Halswirbelsäule seitlich mit hartem, Medium und weichen Kontrast) aufgenommen mit digitalem Röntgensystem von Samsung. Röntgenbilder (Halswirbelsäule seitlich mit hartem, Medium und weichen Kontrast) aufgenommen mit digitalem Röntgensystem von Samsung. Röntgenbilder (Halswirbelsäule seitlich mit hartem, Medium und weichen Kontrast) aufgenommen mit digitalem Röntgensystem von Samsung.

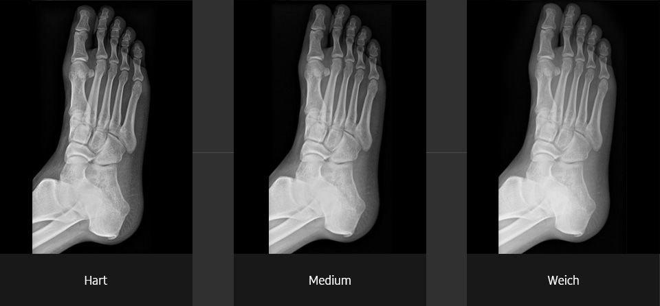
Fuß schräg

Röntgenaufnahmen (Fuß schräg mit hartem, medium und weichen Kontrast) aufgenommen mit digitalem Röntgensystem von Samsung. Röntgenaufnahmen (Fuß schräg mit hartem, medium und weichen Kontrast) aufgenommen mit digitalem Röntgensystem von Samsung. Röntgenaufnahmen (Fuß schräg mit hartem, medium und weichen Kontrast) aufgenommen mit digitalem Röntgensystem von Samsung. Röntgenaufnahmen (Fuß schräg mit hartem, medium und weichen Kontrast) aufgenommen mit digitalem Röntgensystem von Samsung.

* Die Ergebnisse können individuell von Fall zu Fall variieren.